驼峰肾ct影像

驼峰肾,马蹄肾,煎饼肾.肾脏结构异常 ct 图像,你都认识吗?
图片尺寸490x609
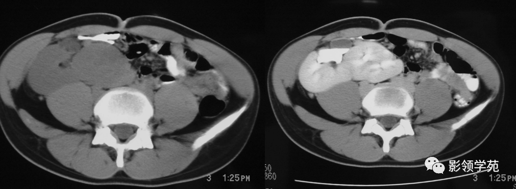
左侧驼峰肾?
图片尺寸600x800
驼峰肾:左侧分叶肾胎儿期肾可分叶,可持续到4-5岁,少数至成年,浅沟处
图片尺寸828x561
大家帮忙看下这个肾影像ct
图片尺寸600x450
22 无特殊症状,查体偶然发现,等后续超声图像……第一幅左侧驼峰肾
图片尺寸338x450
【请教】帮忙看一下 肾脏ct平扫 增强 谢谢 - 影像核医学 -丁香园论坛
图片尺寸1429x742
驼峰肾,马蹄肾,煎饼肾.肾脏结构异常 ct 图像,你都认识吗?
图片尺寸689x236
肾脏先天发育异常影像学诊断
图片尺寸1051x371
x片ct片 - 医学影像学资源版 - 爱爱医医学论坛
图片尺寸1211x898
请专业老师阅片,诊断什么病?
图片尺寸4128x2322
你知道,但未见过的经典 - 医学影像学讨论版 - 爱爱医医学论坛
图片尺寸561x849
【原创】肾ct片 - 医学影像学讨论版 - 爱爱医医学论坛 - 爱爱医医学
图片尺寸512x512
请问这个双肾ct考虑什么
图片尺寸3264x2448
ct增强(2017.8.4)右肾下极囊实性占位,大小约4.44*4.
图片尺寸877x438
急性肾盂肾炎治疗后腰疼
图片尺寸4000x2248
(ct片上显示肾里塞满了结石)
图片尺寸500x580
支气管镜(08.11.06)---右下叶开口外压性狭窄. spect(08.11
图片尺寸640x644
肾脏先天发育异常影像学诊断
图片尺寸1011x371
体检发现右肾占位7天
图片尺寸362x502
3,双肾结石伴左侧输尿管上段结石,左肾积水.
图片尺寸606x808