骨刺

每日狂跳3小时广场舞 大妈脚底长出2厘米长骨刺|骨质增生|骨刺|脚底_
图片尺寸1280x961
骨刺是什麼?能治好吗? ezgoe
图片尺寸640x717
做骨刺手术多少钱(骨刺是一种病吗) - 价格百科
图片尺寸1200x1181
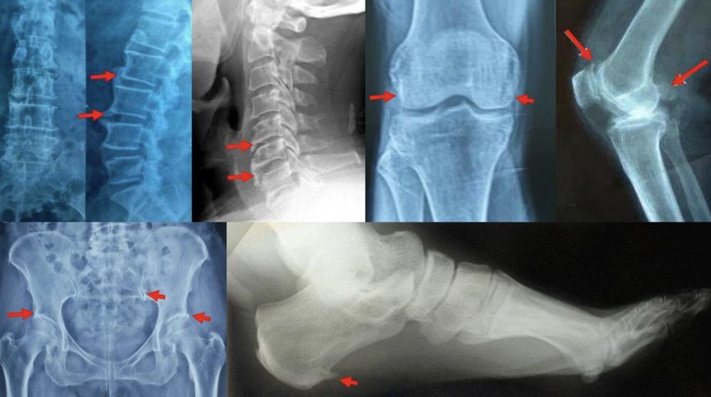
每日小课堂👉骨质增生 骨刺
图片尺寸800x800
长了骨刺咋办,什么情况下该切,什么情况下不该切
图片尺寸640x499
什么是骨刺?明明不是什么大病却为何疼痛难忍?
图片尺寸640x490
骨刺不是你眼中厌恶的"刺头",骨刺除了让你疼痛,它还会帮你!
图片尺寸640x365
长了骨刺,多走路就能"磨掉"?不做好6点,骨刺可能越变越严重
图片尺寸600x383
骨刺能去掉么?_骨质增生_治疗方式_日常注意事项 - 好大夫在线
图片尺寸640x480
骨刺治疗(足跟骨刺治疗)-韬武百科大全
图片尺寸868x600
得了骨关节炎有什么好办法?怎么让骨刺不再长?_腾讯新闻
图片尺寸1000x558
关节镜下切除跟骨骨刺治疗顽固性足跟痛_骨质增生_介绍_治疗方式 - 好
图片尺寸2736x2755
关节镜下切除跟骨骨刺治疗顽固性足跟痛_骨质增生_介绍_治疗方式 - 好
图片尺寸2736x3648
问世间消除"骨刺"之药为何物?
图片尺寸400x280
骨刺不是病,反而是对身体的一种保护?那为什么这么疼_腾讯新闻
图片尺寸640x427
小心,得了骨刺不要随便治,这几点常识一定要知道|关节|骨质增生|肌肉|
图片尺寸577x365
多运动能磨掉骨刺吗?骨刺的治疗处置 - 新闻频道 - 中国文化报道网
图片尺寸1280x840
骨刺长出来能消吗?
图片尺寸358x256
怎样治疗骨刺?_安全知识_情缘阅读网
图片尺寸750x1000
问答| 为什么会形成"骨刺"?长骨刺了怎么办?
图片尺寸640x603