骨岛CT

初见骨岛
图片尺寸2560x1920
影像基础骨岛的影像诊断及鉴别诊断
图片尺寸459x490
骨岛是啥玩样儿
图片尺寸1080x495
各位大师请判断,骨岛?骨纤?转移瘤?如何进行下一步?
图片尺寸1064x736
各位大师请判断,骨岛?骨纤?转移瘤?如何进行下一步?
图片尺寸1252x736
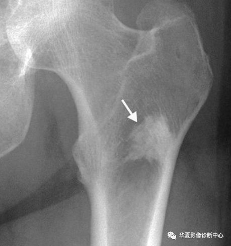
【讨论】骨瘤和骨岛的区别
图片尺寸541x456
经典过目不忘何为骨岛与肝岛
图片尺寸1080x716
一例罕见的病例
图片尺寸509x313
骨岛.png
图片尺寸703x449
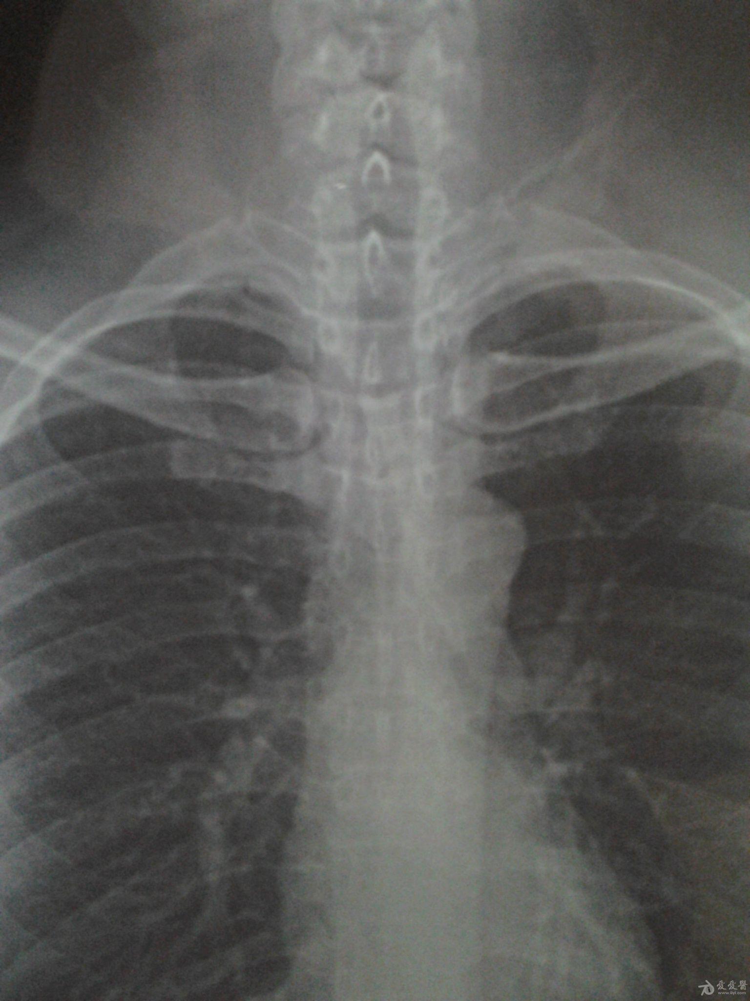
骨岛处平时无疼痛不适,局部软组织无明显肿胀,压,叩痛阴性.
图片尺寸1920x2560
影像基础骨岛的影像诊断及鉴别诊断
图片尺寸1080x780
各位大师请判断,骨岛?骨纤?转移瘤?如何进行下一步?
图片尺寸1090x736
骨岛 bone island
图片尺寸640x351
骨岛处平时无疼痛不适,局部软组织无明显肿胀,压,叩痛阴性.
图片尺寸1920x2560
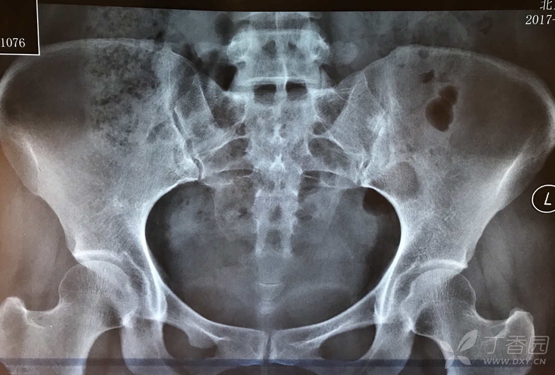
分享一例股骨头疝窝及骨岛
图片尺寸1020x511
各位大师请判断,骨岛?骨纤?转移瘤?如何进行下一步?
图片尺寸1096x736
骨岛是啥玩样儿
图片尺寸1074x550
骨岛?各位请看看
图片尺寸1536x2048
右侧髋关节可能骨岛轻微强迫整个身体右侧酸胀痛各位帮忙分析分析
图片尺寸1024x768
各位大师请判断,骨岛?骨纤?转移瘤?如何进行下一步?
图片尺寸1074x736