骨缝线

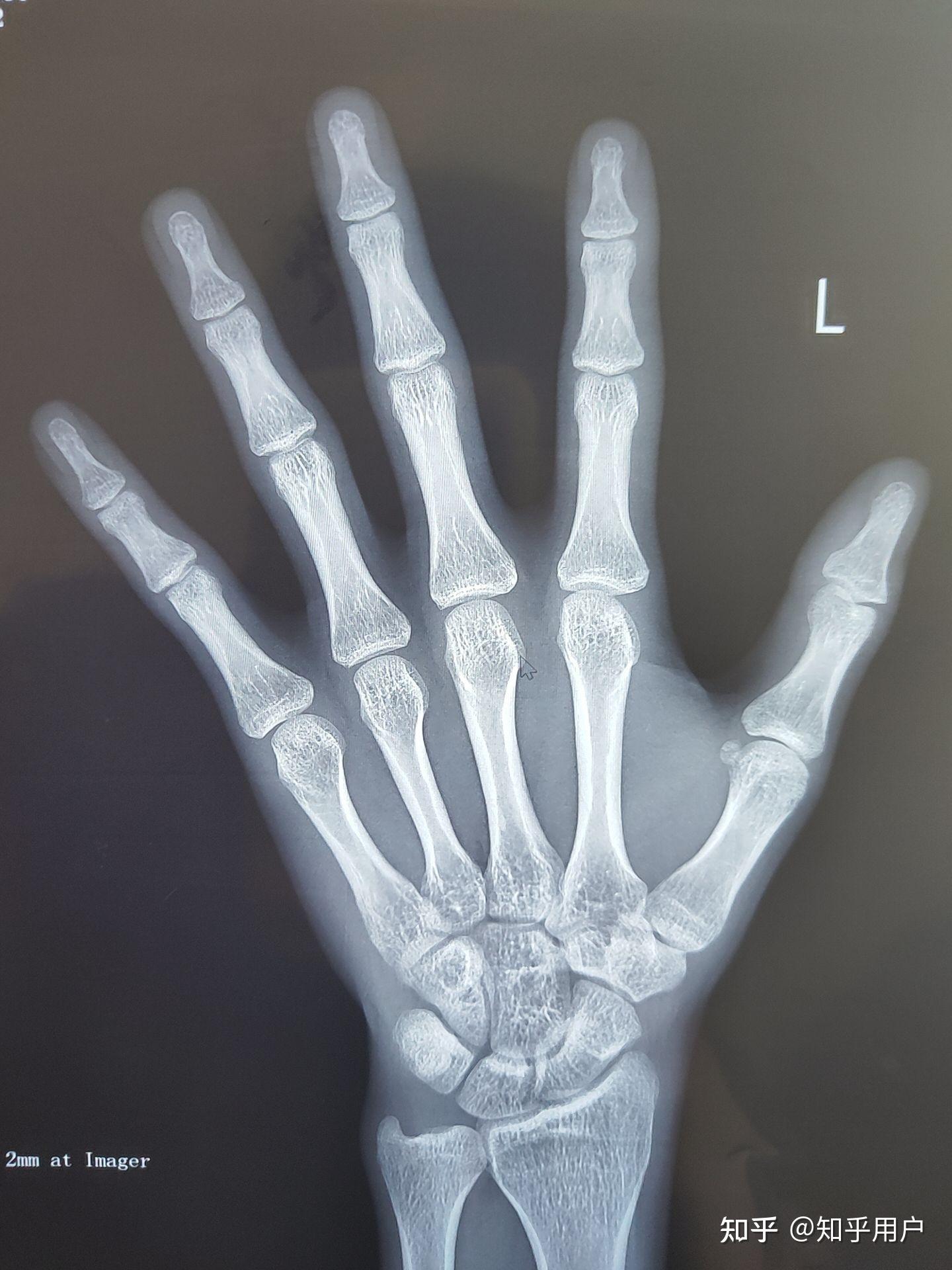
有没有大神留言帮我看看骨缝线
图片尺寸1440x1920
请大家看一看我的骨缝线是不是闭合了,还能不能长高
图片尺寸768x1024
想让孩子多长5厘米,这些情况要注意
图片尺寸487x738
今年18岁骨缝线闭合了还有希望长高吗有什么办法
图片尺寸600x337
我这个x光照片骨骼线闭合了吗,不是很清晰
图片尺寸500x384
骨骼线闭合了吗
图片尺寸780x1052
如果骨缝线闭合了还能后天增高吗?
图片尺寸360x480
懂的人帮忙看看我这骨垢线闭合了没?还能长吗?
图片尺寸600x800
各位帮忙看一下骨缝线有没有闭合? - 知乎
图片尺寸2759x1280
看看我的骨垢线闭合了吗
图片尺寸612x816
骨缝线头骨标数字模型
图片尺寸3120x4160
上海首尔丽格/朴兴植
图片尺寸1080x1389
这算骨缝闭合吗?
图片尺寸1536x2048
人体头颅骨 骷髅模型 仿真头骨标本 头骨附骨缝线 d款骨缝线带颈椎及
图片尺寸800x800
1比1自然大骨缝线头骨模型 有数字标识 头颅骨模型医学人体头颅骨
图片尺寸800x800
膝关节疼痛患者的福音------截骨术 - 好大夫在线
图片尺寸3968x2976
怎么判断骨骼是否闭合
图片尺寸1440x1431
z)c@n%`ubfo}blejuaj7zs9.png
图片尺寸480x254
人体头颅骨 骷髅模型 仿真头骨标本 头骨附骨缝线 d款骨缝线带颈椎及
图片尺寸800x800
取下右机针,使用左机针,线号调整为1,2,6,三线四线使用锁边线,可以
图片尺寸1080x1439