骨裂

轻微骨裂拍的x片 看不懂 请问已经好了吗?
图片尺寸720x874
孙铭徽晒康复日常吃鸡休息两不误左小腿有一点骨裂的状况
图片尺寸1179x2049
昨天右膝盖摔伤,拍片子医生说是轻微骨裂,要打石膏,谁能帮我看看到底
图片尺寸375x500
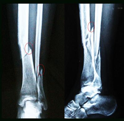
外踝骨裂
图片尺寸788x1051
下楼崴脚竟然骨裂了
图片尺寸1080x809
左脚骨裂,附上x片,忘了问医生具体部位了,请大神给说说具体部位在哪
图片尺寸768x1024
脚踝内,外,骨折后跟骨裂第47天
图片尺寸720x1280
左脚骨裂,附上x片,忘了问医生具体部位了,请大神给说说具体部位在哪
图片尺寸768x1024
右脚外骨骨裂一个星期了没有打石膏看看怎么样了?跖骨
图片尺寸1024x1024
"骨裂"跟"骨折"一样么?听听骨科专家怎么说!
图片尺寸640x911
左脚骨裂,月收入5000千,每月都上交社保.能赔偿多少钱?
图片尺寸600x800
骨裂x光
图片尺寸414x276
脚跟骨轻微骨裂
图片尺寸780x1040
男59岁,胫骨骨裂,血管断裂,唯医,allinmd
图片尺寸720x1280
"香港新一代玉女"卫诗雅滑雪时发生意外:脚骨裂了五分之四!
图片尺寸639x1138
脚踝骨裂的具体症状是怎么样的? - 知乎
图片尺寸916x629
骨折和骨裂区别在哪哪个更严重都要手术吗专家教你3点区分
图片尺寸400x391
骨裂_惠州凯斯骨科 kessclinic
图片尺寸1100x826
脚腕骨裂能不能把石膏换小或是拆掉快月考了挺急的
图片尺寸600x800
我是二月五号左脚脚踝腓骨骨裂到现在已经卧床六个星期了.
图片尺寸2448x3264