骨转移

乳癌成骨性骨转移
图片尺寸2667x2000
图1 术前 胸椎骨转移(红色箭头),脊髓压迫严重.
图片尺寸801x535
骨转移_骨转移癌_介绍_症状表现 - 好大夫在线
图片尺寸864x575
肺癌患者出现骨转移时有什么症状为什么有人骨转移了也不痛
图片尺寸1200x731
成骨型骨转移瘤影像学表现-医学影像图
图片尺寸800x510
骨转移瘤的影像诊断
图片尺寸960x720
地舒单抗:骨转移患者新的治疗选择_骨转移癌_骨转移癌治疗方式 - 好
图片尺寸800x600
第一种无法根治的疾病:肿瘤骨转移
图片尺寸660x738
骨转移_骨转移癌_介绍_症状表现 - 好大夫在线
图片尺寸787x525
乳腺癌术后骨转移一例姑息性骨转移灶放疗
图片尺寸1999x2665
7胸1椎体骨转移病人,行活检及颈椎椎体成形手术.
图片尺寸2000x2667
癌症转移就是被判了死刑?其实骨转移后仍然可以手术
图片尺寸355x198
肺腺癌全身骨转移
图片尺寸1536x2048
是骨转移瘤吗
图片尺寸3264x2448
骨转移
图片尺寸139x220
肺癌晚期骨转移还能活多久,跟治疗有关吗?
图片尺寸1200x800
如何判断肿瘤发生骨转移?疼痛并不是评价诊断"金标准"!_手机搜狐网
图片尺寸1080x750
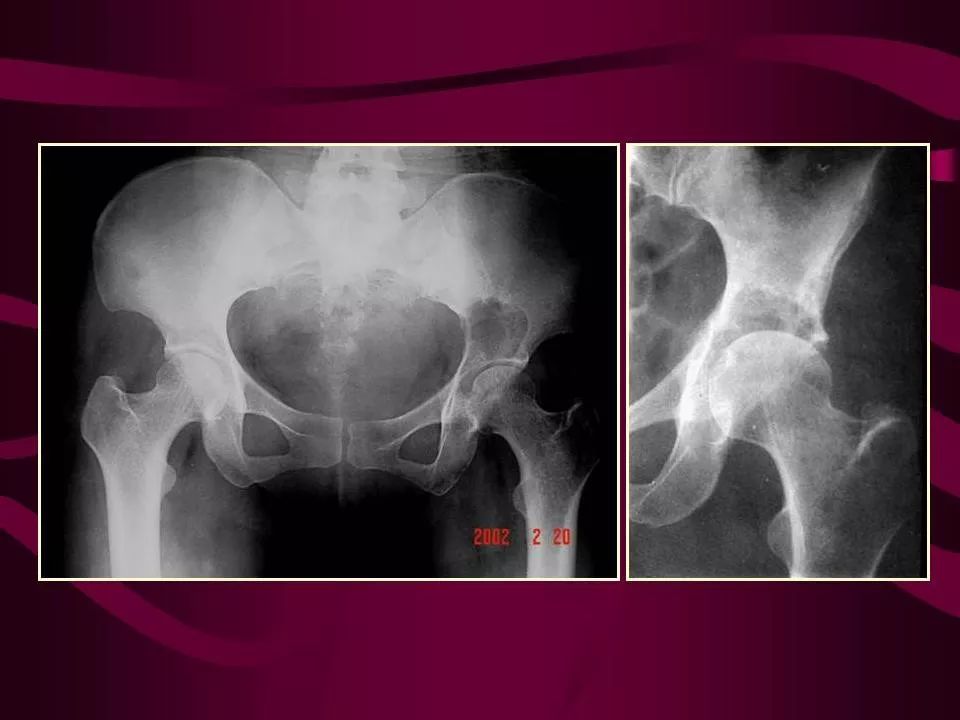
半股骨切除加肿瘤定制假体髋关节置换——骨转移患者重获新生
图片尺寸552x516
癌症为什么容易发生骨转移_手机搜狐网
图片尺寸834x456
上海第十人民医院骨转移癌多学科联合门诊mdt门诊介绍
图片尺寸622x234