高位髌骨测量

髌骨位置测量
图片尺寸2000x2666
必懂 | 高位髌骨常用测量方法(必点收藏)
图片尺寸1031x1600
必懂 | 高位髌骨常用测量方法(必点收藏)
图片尺寸724x1200
髌骨脱位的关节镜微创治疗 赤峰二院骨一科 赵东旭
图片尺寸1600x1200
高位髌骨的测量
图片尺寸920x1302
治疗复发性髌骨脱位,严谨的学问
图片尺寸2666x2000
关于高位髌骨的x线测量最常用的是侧位片这里要注意是屈曲30很可能
图片尺寸920x1302
必懂 | 高位髌骨常用测量方法(必点收藏)
图片尺寸489x473
关于高位髌骨的x线测量及诊疗
图片尺寸800x1132
【测量方式】测量膝关节周长
图片尺寸769x589
你好,我朋友是跳芭蕾舞的,被诊断高位髌骨
图片尺寸960x995
精彩幻灯高位髌骨的诊断和治疗
图片尺寸640x480
髌骨外倾角丨x线测量,应用
图片尺寸636x324
髌骨脱位
图片尺寸2667x2000
【骨关节炎】医生说的高位/低位髌骨和膝关节痛有关系吗?
图片尺寸587x494
高位髌骨
图片尺寸1707x1280
高位髌骨高位髌骨的诊断和治疗
图片尺寸640x480
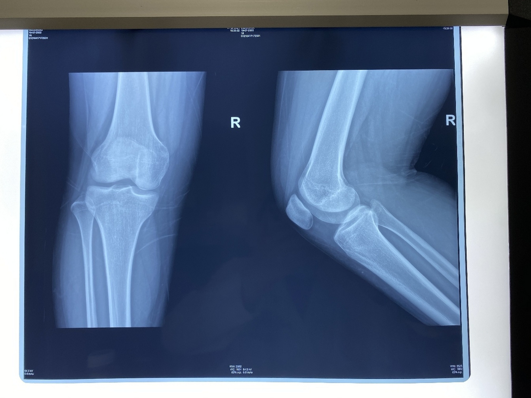
术前测量右膝轻度内翻
图片尺寸3022x4030
高位髌骨
图片尺寸855x1213
进行_髌骨_柔韧性
图片尺寸1080x799