高度近视眼底图片

高度近视(豹纹状眼底)
图片尺寸932x705
高度近视还可能导致失明!_病变_眼底_患者
图片尺寸1296x688
高度近视眼底病变
图片尺寸555x498
高度近视随着年龄增大眼底病变愈发严重的概率大吗? - 知乎
图片尺寸3255x1943
眼底照片:带你了解高度近视患者眼底和正常人眼底的状态,就知道 - 抖
图片尺寸526x1080
高度近视眼底会发生怎样的变化
图片尺寸658x640
近视超过600我建议你看看自己的眼底绝对惊喜
图片尺寸580x916
600以上的高度近视,眼底会裂开吗?
图片尺寸960x1280
青少年高度近视患眼眼底特征及其与屈光状态的相关性
图片尺寸700x562
高度近视的危害
图片尺寸758x503
问游游丨高度近视患者如何调整心态_眼底
图片尺寸474x474
高度近视眼底.jpg
图片尺寸946x876
高度近视是"病",不只是戴厚镜片那么简单_视网膜_眼底_检查
图片尺寸750x808
高度近视不可怕可怕的是眼底病变
图片尺寸1125x825
高度近视为什么会这么可怕易视界
图片尺寸1080x2496
谈一谈高度近视
图片尺寸2048x1536
高度近视的眼底对比图
图片尺寸641x377
高度近视导致的眼底改变
图片尺寸1024x901
科普丨高度近视≠病理性近视!你属于哪种近视?_病变_患者_眼底
图片尺寸541x424
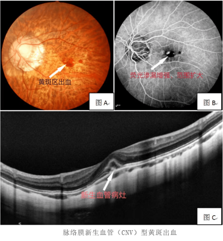
认识高度近视眼眼底黄斑出血
图片尺寸600x450