鱼肺泡

肺鱼真的有肺吗?
图片尺寸640x360
在鱼鳔内有许多大小不等的小气室,相当于人类的肺泡,这些小气室又分为
图片尺寸597x242
鲫鱼的解剖任务.
图片尺寸1999x2665
肺鱼的鳔很发达,内里含有大小不等的"肺泡"和"肺小泡",在生理功能上和
图片尺寸640x343
快给鱼上氧气瓶!|缺氧|肺泡|含氧量_网易订阅
图片尺寸660x618
一条具有王者风范而又悲壮的鱼——c1806高天毅中秋生物作业
图片尺寸1080x810
青年男性,发病前多有搬动重物,剧烈咳嗽,用力排便等诱因,导致肺泡破裂
图片尺寸640x392
河南省郑州市荥阳市2022-2023学年七年级下学期期末生物试题-组卷网
图片尺寸575x201
鱼泡有什么营养和功效
图片尺寸500x348
它明明是一条鱼,非洲人却把它当做"长在地里的食物"
图片尺寸638x480
点击图片可放大查看
图片尺寸800x448
肺,肺泡的解剖手绘图
图片尺寸960x1280
不能吃什么食物答:肺气肿是指支气管末端部分,包括呼吸细支气管,肺泡
图片尺寸478x272
中间部分的内壁有着大小不同起到过滤作用的小气室,相当于动物的肺泡
图片尺寸796x590
夏季高温期 鱼苗得了气泡病应该怎么办?
图片尺寸600x409
医疗,医学,合成图
图片尺寸529x819
间质性肺炎_肺泡
图片尺寸912x860
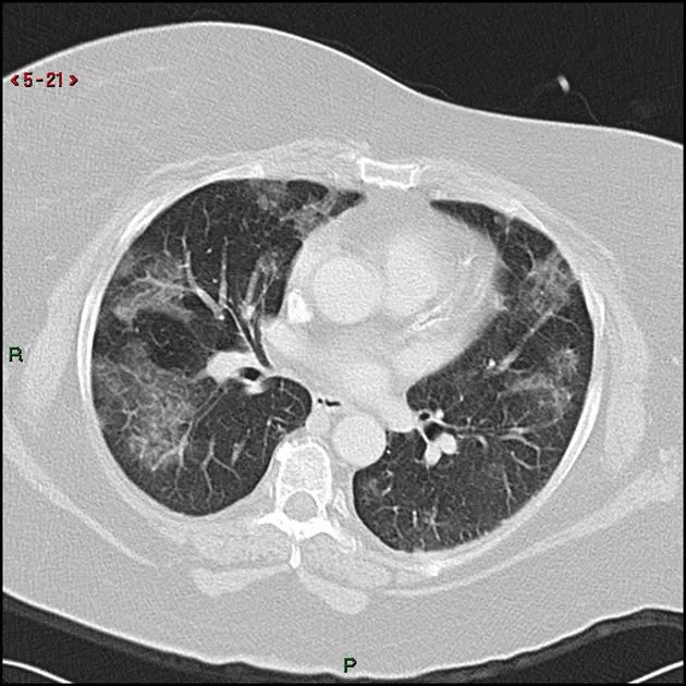
胸部ct 弥漫或多发磨玻璃影的影像鉴别诊断_肺泡
图片尺寸630x630
这只蛙的肺还在呼吸,可以看到清晰透亮的肺泡
图片尺寸2000x2666
肺泡_支气管_治疗
图片尺寸562x752