麻风杆菌

麻风杆菌
图片尺寸612x393
汉中疗养院检验科进行麻风杆菌检测读片盲片考核工作.
图片尺寸1198x1598
麻风杆菌细菌
图片尺寸1200x675
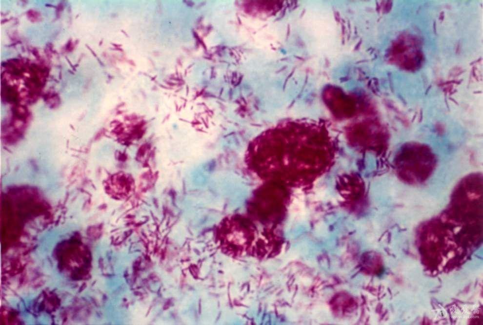
图3-44麻风杆菌(抗酸阳性 x40).jpg
图片尺寸990x667
麻风分枝杆菌的显微照片来自麻风病皮肤损伤服用.
图片尺寸1175x1200
麻风杆菌.jpg
图片尺寸1028x627
麻风杆菌细菌
图片尺寸1200x675
图3-43麻风杆菌(抗酸阳性 x40).jpg
图片尺寸752x560
现代医学揭示了麻风病的机理:由麻风分枝杆菌引起的一种极为慢性具较
图片尺寸640x360
麻风杆菌细菌
图片尺寸1200x675
麻风病因病原菌麻风分枝杆菌麻风杆菌
图片尺寸1000x733
麻风病的发病 麻风杆菌 指端残缺 "狮面" 麻风结节
图片尺寸1080x810
麻风杆菌的爱与恨
图片尺寸968x600
麻风杆菌细菌
图片尺寸1200x675
麻风分枝杆菌(mycobacterium leprae)长久以来一直被认为是麻风病唯一
图片尺寸760x574
几乎被人类驱逐的麻风病正在肆虐动物世界这和我们有何关系
图片尺寸641x543
麻风病人是麻风杆菌的天然宿主.
图片尺寸356x240
麻风病是麻风分枝杆菌长期感染引起的疾病.
图片尺寸660x505
麻风分枝杆菌是一种分化缓慢的分枝杆菌,进化成细胞内寄生虫,引起皮肤
图片尺寸640x366
可排出大量细菌,故推测麻风杆菌进入人体方式是借气溶胶经呼吸道吸入
图片尺寸1005x669