黄体超声

黄体囊肿的超声诊断
图片尺寸749x383
黄体囊肿超声诊断~~省医肖美华
图片尺寸2667x2000
正常黄体在超声图像上的表现是不一样的.黄体有什么功能呢?
图片尺寸963x931
奶牛持久黄体图
图片尺寸248x417
黄体血肿
图片尺寸1080x616
还是黄体图片(再谈黄体) - 超声医学讨论版 - 爱爱医医学论坛
图片尺寸753x546
超声入门贴448----黄体破裂
图片尺寸560x420
分享宫外孕,黄体同侧出现 - 超声医学讨论版 - 爱爱医医学论坛
图片尺寸800x600
卵巢黄体的超声表现
图片尺寸764x494
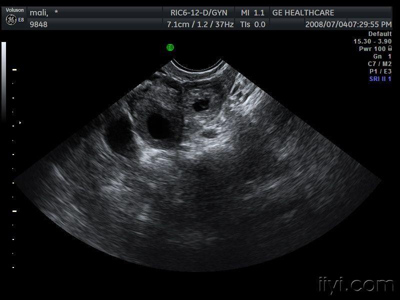
卵巢黄体囊肿 - 超声医学讨论版 - 专业医生社区,医学,药学,生命科学
图片尺寸4032x3016
黄体囊肿超声诊断~~省医肖美华
图片尺寸2667x2000
黄体血肿? - 超声医学讨论版 -丁香园论坛
图片尺寸2736x3648
超声检查过程中,卵巢黄体破裂ing——zengerya
图片尺寸762x538
妊娠期和产后急性盆腔疼痛的超声评估
图片尺寸1008x750
黄体囊肿超声诊断~~省医肖美华
图片尺寸2667x2000
求答案,黄体形成是什么意思
图片尺寸2304x3072
黄体囊肿超声诊断~~省医肖美华
图片尺寸2667x2000
黄体囊肿的各种声像图表现
图片尺寸1280x720
黄体破裂? - 超声医学讨论版 -丁香园论坛
图片尺寸720x576
黄体囊肿超声诊断~~省医肖美华
图片尺寸2667x2000