黑嘴香烟

golden triangle黑嘴的是什么香烟?
图片尺寸540x960
发布于1 小时前 最佳答案 日本烟,black devil 是香烟名称.
图片尺寸864x1152
black devil (黑鬼香烟)你那里有卖的吗
图片尺寸500x667
黑魔后
图片尺寸400x533
总有人问我用什么护肤品什么口红今天给你们看一下 烟:黑利群 - 抖音
图片尺寸1440x1920
正品品包黑耀雪加茶烟细支香烟薄荷味男女士烟嘴
图片尺寸960x960
买了一包如图,是真烟吗?
图片尺寸640x480
黑猫
图片尺寸1800x1350
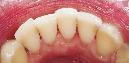
360度溶解陈年牙垢,比洗牙还干净10086倍!_牙齿_牙膏_口腔
图片尺寸519x252
black devi(黑魔鬼)香烟价格表图,荷兰黑魔鬼香烟价格排行榜(2种)
图片尺寸550x377
黑猫香烟多少钱一包「黑猫香烟多少钱一包图片」
图片尺寸700x933
外烟blackdevil3d
图片尺寸1800x1350
什么香烟多少钱?
图片尺寸640x853
外国黑鬼烟空盒
图片尺寸768x1024
黑鬼烟郑州哪里有卖的?
图片尺寸500x375
香烟品牌 craven(黑猫)香烟
图片尺寸838x629
黑猫焦油量20
图片尺寸1350x1800
双喜1906硬多少钱一包双喜1906硬香烟价格10元包
图片尺寸600x400
问:黑鬼香烟多少钱一包
图片尺寸500x500
俄罗斯女士香烟有哪几种好抽 3款好抽的女士香烟推荐(乐迪烟)
图片尺寸600x526