黑牙齿图片儿童

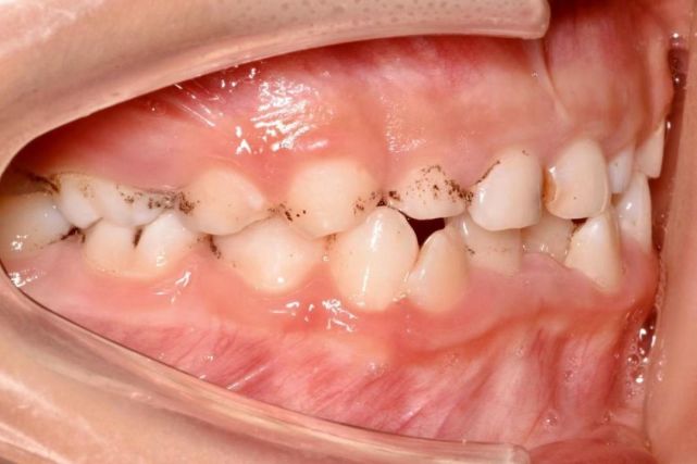
宝宝牙齿有黑渍图片,儿童牙齿发黑图片_大山谷图库
图片尺寸600x800
小孩子牙齿变黑,大部分都是这样造成的,年轻爸妈注意了
图片尺寸949x568
"提问儿童牙齿上为什么会有黑色素?
图片尺寸461x355
5岁娃牙齿全变黑牙罪魁祸首不是糖果而家长却时常忽略
图片尺寸640x553
儿童牙齿发黑怎么处理
图片尺寸414x240
3岁宝宝满口小黑牙,宝妈原想等换牙就好了,遭医生怒斥|蛀牙|口腔|牙齿
图片尺寸640x854
2岁孩子满口黑牙吓坏医生,别光控糖了,保护牙齿要做好3件事
图片尺寸640x412
孩子的牙齿变黑怎么办?别害怕,很容易就能去除
图片尺寸641x668
黑真狗牙齿正品裸牙打孔男女本命年小孩婴儿广西狗牙饰品平安挂件
图片尺寸800x800
满口牙齿外面全都有黑色牙垢,刷牙可以去掉一点牙垢,到底是哪里的问题
图片尺寸2100x1575
三岁宝宝的牙齿黑怎么办?
图片尺寸4096x2720
老师跟圆圆的妈妈沟通之后,才了解到,圆圆是因为牙齿发黑才变成这样的
图片尺寸750x500
宝宝牙齿色素沉着怎么处理
图片尺寸508x622
老师,老师,我的牙齿变黑了
图片尺寸1599x1199
为什么小孩的牙齿会变黑?原因有三个,很多家长还没重视起来
图片尺寸640x480
小朋友牙齿上的黑色素能去掉吗
图片尺寸641x427
儿童牙齿小黑点图片(孩子满口黑牙就像50岁的) - 赤虎壹号
图片尺寸630x425
4岁宝宝不敢张口,只因满口"黑牙",罪魁祸首原来是它|宝宝|黑牙|牙齿
图片尺寸900x600
小朋友牙齿上的黑色素能去掉吗?
图片尺寸1080x608
我家女儿七岁,前段时间看她牙齿有点
图片尺寸800x1066