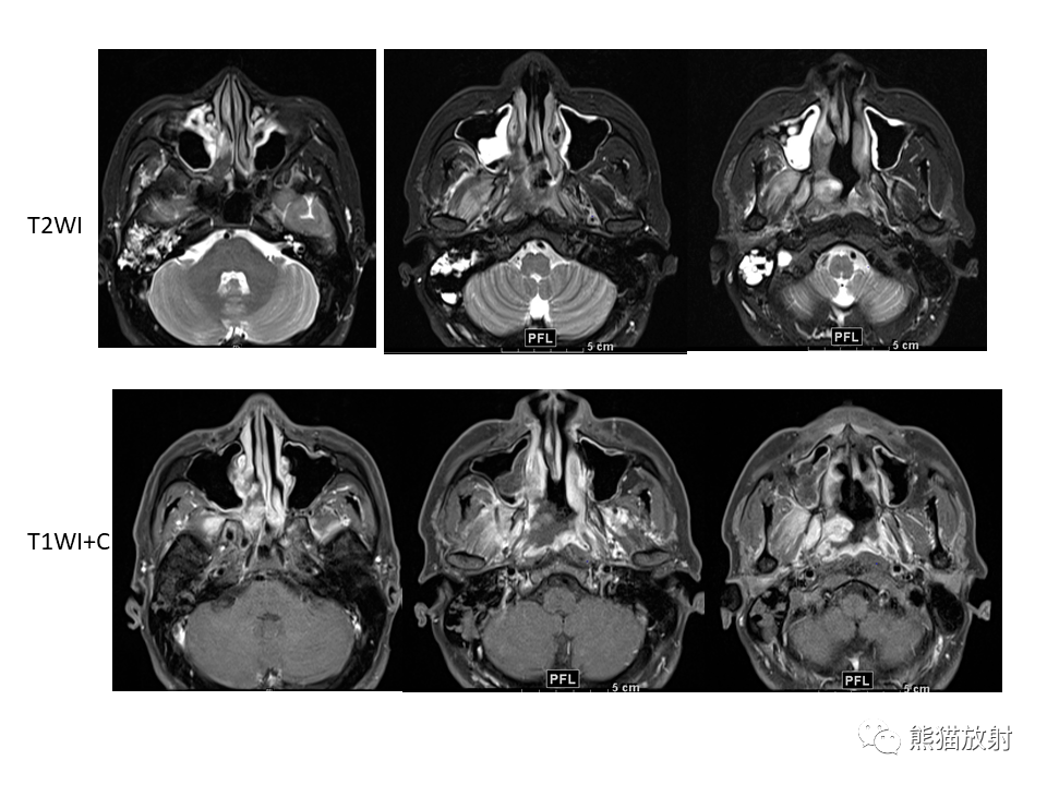
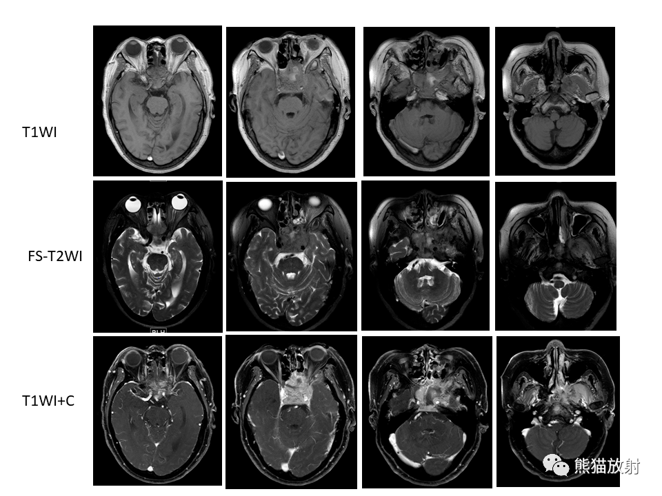
鼻窦mri

省立影像读片鼻腔鼻窦病变2204
图片尺寸960x720
鼻窦ct,mri检查没有任何创伤
图片尺寸640x427
鼻窦mri
图片尺寸911x1200
鼻腔鼻窦解剖及常见病变影像诊断一
图片尺寸960x720
鼻和鼻窦骨质破坏性病变影像分析
图片尺寸960x720
人鼻窦鼻通道的 mri 扫描
图片尺寸364x320
【请教】十岁以下小孩的副鼻窦该怎么诊断
图片尺寸960x720
长期单侧鼻塞流涕需警惕鼻腔鼻窦内翻性乳头状瘤
图片尺寸484x478
mri表现 - 好大夫在线
图片尺寸1080x1920
鼻腔鼻窦纤维血管瘤的ctmri表现及鉴别诊断
图片尺寸694x470
第一节 鼻窦 二,ct与mri诊断 ct与mri诊断 正常鼻窦ct表现: 正常鼻窦
图片尺寸1080x810
mri鼻腔鼻窦肿瘤dsc08350.jpg
图片尺寸2592x1944
真菌性鼻窦炎影像学诊断
图片尺寸600x600
省立影像读片鼻腔鼻窦病变2204
图片尺寸960x720
鼻咽部详细mri断层图谱基础医学医药卫生专业资料课件
图片尺寸800x600
【求助】鼻窦炎
图片尺寸4320x3240
鼻腔鼻窦良恶性肿瘤的ctmr诊断一影像天地
图片尺寸960x720
眶内炎性膨胀 点击查看答案 84,单项选择题 有关鼻窦的说法,下列哪项
图片尺寸283x444
是ct的补充;真菌性鼻窦炎,mri显示钙化能力有限,需要结合ct检查,但是
图片尺寸1242x1079
半边脸麻,鼻涕发臭,元凶竟是鼻窦里的"泥沙"
图片尺寸800x600