鼻腔癌症状

鼻腔癌
图片尺寸500x659
鼻前庭恶性肿瘤图
图片尺寸750x500
鼻腔癌
图片尺寸468x339
医生:一斤!
图片尺寸1080x744
鼻出血是常见的症状,但有些情况却可能是鼻腔肿瘤的信号
图片尺寸800x1067
鼻咽癌鼻腔症状图
图片尺寸750x500
鼻子这一点,它就说得鼻咽癌了
图片尺寸1440x1920
复发鼻咽癌的"绝"处逢生
图片尺寸1080x810
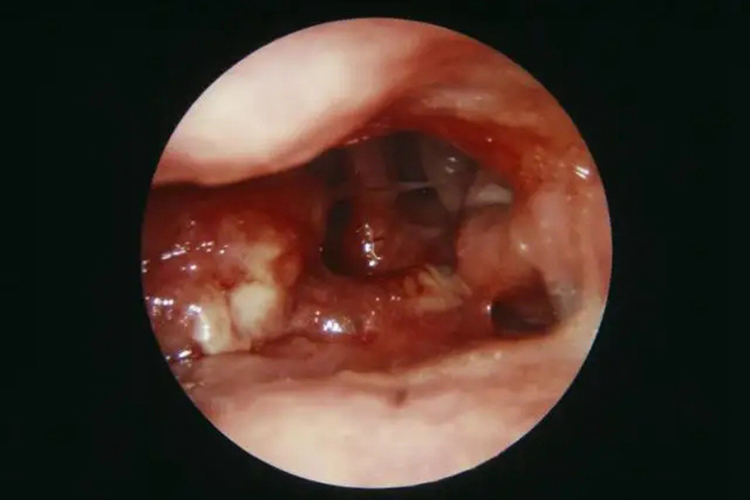
鼻窦癌鼻腔新生物图
图片尺寸750x500
鼻腔鼻窦恶性肿瘤面部不对称图
图片尺寸750x500
浅表型基底细胞癌鼻部症状图
图片尺寸750x500
第二节 鼻腔,鼻窦恶性肿瘤
图片尺寸600x801
鼻腔肿瘤如何发现与治疗?
图片尺寸765x751
一文解答 鼻癌是指发生在鼻腔及鼻咽部位的恶性肿瘤,其症状可能因
图片尺寸900x1200
图片尺寸1920x1874
复发鼻咽癌的"绝"处逢生
图片尺寸1080x799
鼻窦癌出血:颜色与特点的奇妙呈现 鼻窦癌,听起来就让人心头一紧
图片尺寸720x960
鼻咽血管纤维瘤的男性的图像,这是一种发生在鼻咽部的良性肿瘤
图片尺寸570x803
一个鼻腔癌,扩散到鼻窦以及口腔,发出恶臭.这是癌症晚期的常见表现
图片尺寸690x754
鼻腔恶性肿瘤早期最明显症状,你知道吗?
图片尺寸1080x1920