龋病

人类三大重点防治疾病之一龋病
图片尺寸498x308
人类三大重点防治疾病之一龋病
图片尺寸490x309
出现这三个症状,说明你的牙齿已经患上龋病
图片尺寸450x300
专门祸害磨牙的龋病窝沟龋
图片尺寸500x302
龋病
图片尺寸1080x608
龋病引发蝴蝶效应如何防治
图片尺寸500x309
人牙龋病的治疗.用复合材料修复牙齿牙齿的概念照片
图片尺寸450x300
龋病
图片尺寸300x300
龋病第三章龋病医学教学课件ppt
图片尺寸800x600
牙齿龋病是什么意思?口腔科常见十大疾病
图片尺寸640x263
牙体牙髓病 龋病1
图片尺寸3456x4608
走进口腔——龋病的危害
图片尺寸640x422
洗牙|龋坏|牙齿|龋病_网易订阅
图片尺寸640x618
龋病三期2期强龋攻击3期渲染照片
图片尺寸533x300
龋病是牙齿缺失的第一步
图片尺寸640x441
课件_龋病ppt
图片尺寸1080x810
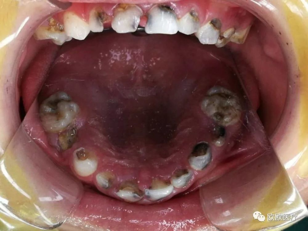
10个孩子7个烂牙被疯传的乳牙无用论到底坑害了多少孩子
图片尺寸1000x750
龋病 详解及图库
图片尺寸1080x810
龋病引发蝴蝶效应如何防治
图片尺寸499x333
龋病的"三级预防"
图片尺寸400x300