龋齿图片现实

虫牙真实图片71
图片尺寸400x407
原创吃糖蛀牙不科学不想让孩子蛀牙了解真相很有必要
图片尺寸1500x1000
在梁溪给孩子看牙被骗他们都说应该去无锡维乐或美奥
图片尺寸500x341
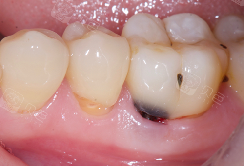
小孩蛀牙怎么办5岁儿童烂牙到底要不要补
图片尺寸1709x1878
很多家长感慨为什么动不动就蛀动不动又有蛀牙
图片尺寸1667x1024
3岁小孩蛀牙怎么办
图片尺寸769x488
门牙龋齿怎么补图片
图片尺寸667x500
可乐龋齿图
图片尺寸750x500
浅龋齿图片
图片尺寸536x500
据卫计委2018年调查显示:5岁儿童龋齿的比例竟然高达70%以上!
图片尺寸663x453
龋齿|恒牙|蛀牙|牙齿_网易订阅
图片尺寸660x408
5岁女孩"封眼"入icu "病根"竟然因一颗"龋齿"
图片尺寸640x480
【病例分享】前牙邻面龋的治疗技巧_手机搜狐网
图片尺寸640x401
虫牙真实图片71
图片尺寸400x535
牙齿中龋牙体缺损图
图片尺寸750x500
一口黄牙
图片尺寸800x651
儿童蛀牙图片 ?
图片尺寸3264x2448
医生不会说的根管秘密解析良心牙医遇到深龋会怎么做
图片尺寸400x263
应该不会有比我这个严重的龋齿了吧医生说还是可以补的
图片尺寸672x896
还相信宁愿虫牙继续蛀也不愿意补牙良心医生已经把真相说出来了
图片尺寸600x400