龋齿程度

龋齿程度分类图片及治疗方法
图片尺寸654x357
既然有不同的龋齿阶段,那么当然是要对症下药了,不同的时期就要进行不
图片尺寸500x299
造成龋齿有很多原因
图片尺寸440x587
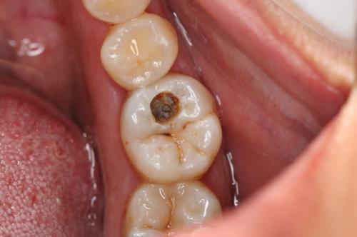
因为龋齿而出现了小黑点,一般可以根据其发展程度不同进行划分.
图片尺寸448x274
龋齿越拖延治疗起来越贵
图片尺寸640x476
龋齿的后果降低咀嚼功能,增加胃肠道负担使口腔卫生恶化,引起口臭.
图片尺寸1086x893
一组牙齿龋齿(蛀牙)氟中毒和结石. 孤立的背景.照片
图片尺寸420x300
教你肉眼辨别蛀牙的程度 通常蛀牙有三种阶段,各位对号入座 第一阶段
图片尺寸961x1280
龋齿:
图片尺寸640x360
2.牙齿出现了深浅不同程度的龋坏
图片尺寸400x300
奶瓶龋好发于婴幼儿,因为刚长出来的牙齿牙釉质,牙本质薄钙化程度低
图片尺寸640x480
如何做好龋齿的预防呢
图片尺寸641x1508
不补牙同样适用的是进口材料,为了治疗结果美观以及增加其耐用程度
图片尺寸500x371
疼疼疼牙疼怎么办不是所有蛀牙都有机会被补好
图片尺寸458x276
1,那蛀牙到什么程度才能补牙,怎么肉眼辨别?
图片尺寸500x667
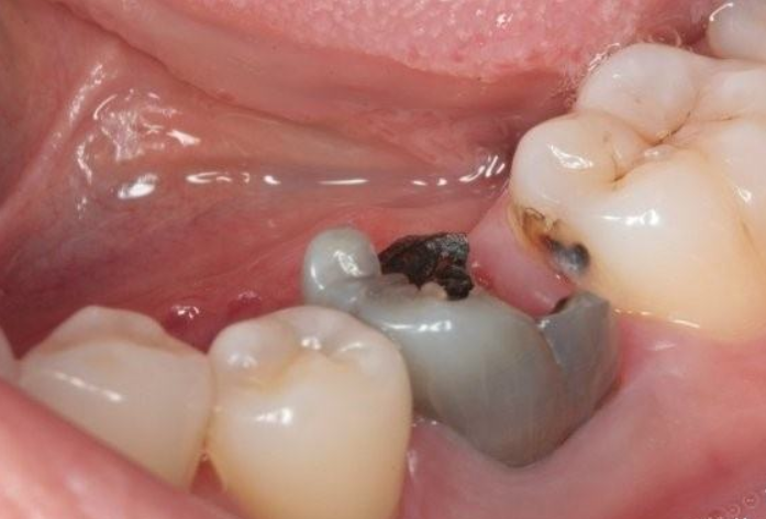
如果蛀牙到这种程度了,就需要治疗或拔牙了
图片尺寸469x416
龋齿分为浅龋,中龋,深龋,具体如下图所示:龋齿,就是我们常说的"蛀牙"
图片尺寸900x1161
因为龋齿而出现了小黑点,一般可以根据其发展程度不同进行划分.
图片尺寸697x472
牙齿的一生从黑点到拔牙五部曲
图片尺寸562x402
蛀牙补牙的材料基本就这些了,看你要怎么选
图片尺寸500x332