21三体染色体

21三体的染色体核型
图片尺寸600x534
21三体综合征患者染色体排序
图片尺寸768x512
标准型21-三体染色体核型
图片尺寸400x239
21三体染色体核型
图片尺寸1080x810
母>35岁,父>55岁(3)父或母为平衡易位携带者,t(dq21q)易位者,如为女性
图片尺寸500x336
y,染色体都是成对存在的,当第21号染色体多一条时就称为二十一三体
图片尺寸397x354
xx(或xy)/47,xx(或xy), 21人体染色体:46条,23对染色体分组诊断与鉴别
图片尺寸337x274
其实,唐氏综合征就是我们常说的21三体综合征,由染色体异常(多了一条
图片尺寸600x357
21号染色体一方不分离
图片尺寸600x340
试管前检查,老公21号染色体三体
图片尺寸1080x1439
02唐氏综合征染色体核型唐氏综合征(down syndrome)又称21三体综合征
图片尺寸597x244
如果多了的这一条染色体发生在第 13对,我们称为13三体症;发生在第
图片尺寸1024x1024
21三体是一种染色体疾病
图片尺寸600x450
案例一:临床确诊21三体综合征的主要方法是染色体核型分析,显微观察
图片尺寸460x329
21三体综合征有哪些遗传咨询要点
图片尺寸1938x1964
唐氏综合征21三体综合征
图片尺寸590x293
在夫妻双方染色体正常的情况下,仍有可能出现生育21三体综合征的情况
图片尺寸1080x803
二倍体生物中的常染色体某一对染色体增加一条染色体,称三体,如21
图片尺寸664x600
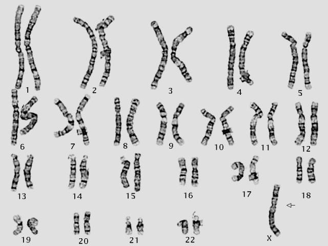
45x0染色体 ▼21-三体染色体
图片尺寸640x480
在医学上称之为21三体综合征,患者的21号上多出一条异常染色体,出生后
图片尺寸800x600