24颗牙齿

请友友们欣赏一下我的24颗
图片尺寸1080x810
矫正后只有24颗牙齿正常吗脸会不会受影响瘪了
图片尺寸600x412
矫正第一天 本人牙齿情况:先天性牙缺失 共24颗 正常32颗牙_医美整形
图片尺寸962x1280
来自医疗卫生类芝麻团 2017-05-24 邦正牙齿矫正gy 采纳数:173获赞数
图片尺寸853x640
16个月;4,第 一乳磨牙:上颌14月,下颌12个月;5,第二乳磨牙:上颌24个
图片尺寸800x500
写美篇我们的牙齿都有哪些功能? 1.咀嚼食物 2.
图片尺寸480x527
正常人有28颗牙齿,我只有26颗,为什么呢?
图片尺寸720x960
牙齿模型模具正畸半金属半托槽标准牙模种植修复口腔教学牙模 24颗牙
图片尺寸800x800
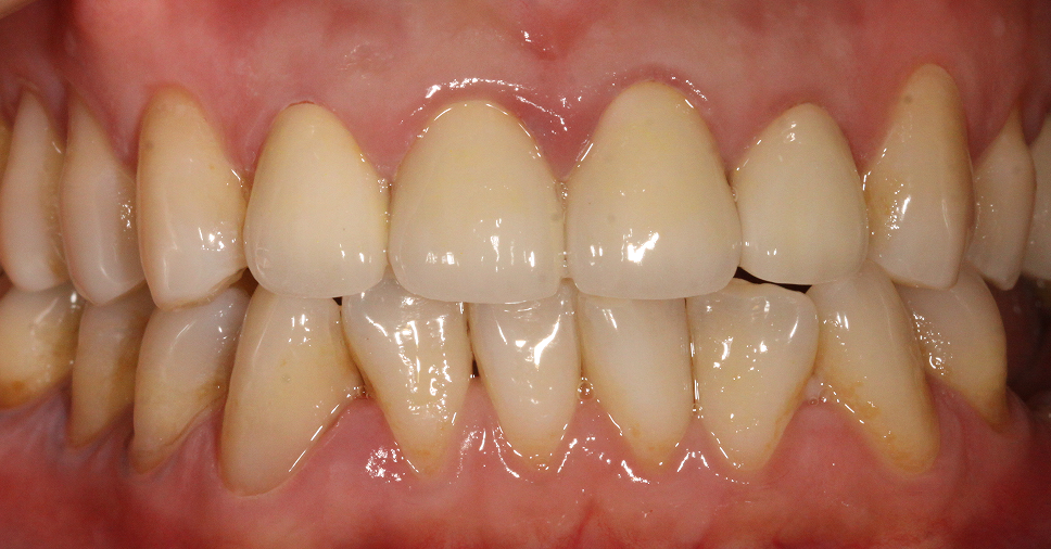
治疗效果 矫正前后面像对比 经过24个月的矫正,女孩牙齿排列整齐,笑
图片尺寸1494x666
牙齿正畸需要拔掉4颗牙齿之后只剩下24颗牙齿这样正常吗
图片尺寸997x642
儿童24颗牙齿更换顺序图,年龄过早说明骨龄偏大? - 柚喜
图片尺寸800x500
一笑露24颗牙的快进来,有福利哦!
图片尺寸890x980
牙齿正畸需要拔掉4颗牙齿之后只剩下24颗牙齿这样正常吗
图片尺寸1599x1066
牙齿正畸需要拔掉4颗牙齿之后只剩下24颗牙齿这样正常吗
图片尺寸1599x1066
恒牙:28-32颗 恒牙将陪伴我们终生,所以一定要好好保护牙齿.
图片尺寸639x415
牙齿"黑洞"——龋齿是如何形成的
图片尺寸593x488
牙齿正畸需要拔掉4颗牙齿之后只剩下24颗牙齿这样正常吗
图片尺寸968x506
现在就剩24颗牙了.相对_圈子-新氧美容整形
图片尺寸570x609
牙齿真的越白越好吗
图片尺寸1000x1099
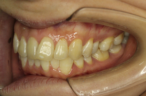
患者牙齿拥挤不齐,牙弓狭窄,嘴突,患者对自己侧貌不满意矫治时间:24个
图片尺寸585x386