7号牙

孩子长出这颗牙齿的时候,家长们注意了,换牙期正式开始
图片尺寸640x480
有些人甚至听医生说缺失7号牙没事,便认为不用进行任何修复.
图片尺寸1280x960
7号牙缺失一定要种植吗长期缺着会影响6号牙不
图片尺寸600x500
圈起来的是缺牙的部位,因为时间太长了导致后面的7号牙已经长歪了
图片尺寸720x351
矫正让智齿"变废为宝" 右下6号牙和7号牙都是缺失_圈子-新氧美容整形
图片尺寸545x786
【离石区实验幼儿园】大六班 课程故事—牙齿咔咔咔
图片尺寸828x968
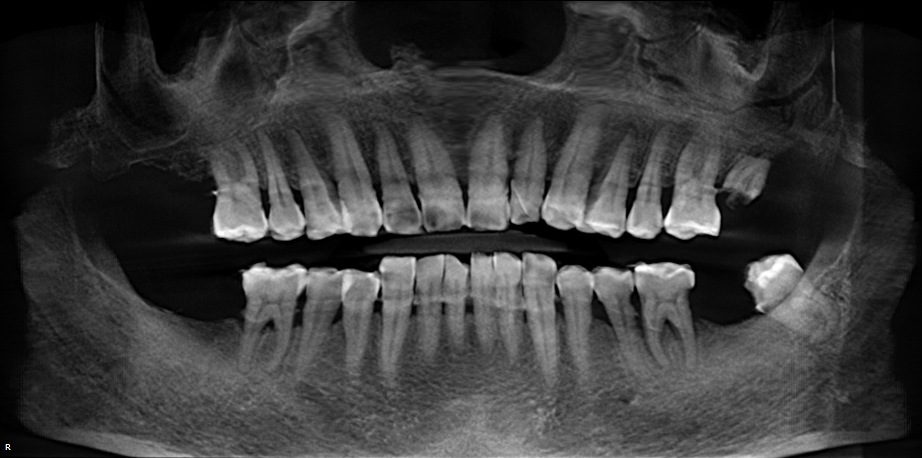
种植牙100问(22):7号牙缺失需要种植吗?
图片尺寸1812x900
一,医生说缺失7号牙没事是真的:医生利用智齿前移代替7号牙位置.
图片尺寸1052x852
儿牙医生想告诉你影响孩子牙齿生长的7个内幕
图片尺寸640x434
下颌6号牙缺失有两年多了,用正畸的方法把7 8号牙牵引过来,可行吗?
图片尺寸1260x674
牙客《美学修复实战班》深圳站——马霄老师主讲
图片尺寸650x817
第3页 - 牙套咨询 - 牙齿矫正人气社区-牙套之家app
图片尺寸1124x844
这7种坏牙,要尽快拔掉!再拖就晚了
图片尺寸640x377
智齿能不能矫正到七号牙使用?
图片尺寸720x405
7号牙拔出来之后发现,根尖已经被智齿顶… - 知乎
图片尺寸690x690
拔掉第二磨牙不修复危害大到你想象不到
图片尺寸490x328
体会过拔七颗牙齿的快乐吗
图片尺寸1536x2048
请问像这种牙齿状况能牙齿正畸么
图片尺寸780x1040
是比较便宜的价格长了四颗智齿,有一边下智齿斜着把旁边的7号牙挤了,7
图片尺寸1080x1172
牙
图片尺寸972x972