700度近视的世界图片

600度以上近视该怎么办?
图片尺寸640x638
眼里的世界
图片尺寸480x360
近视700度是什么概念?
图片尺寸600x1669
近视700度的进来.
图片尺寸1245x2214
600度以上近视人群需要知道的
图片尺寸1080x2496
近视眼的世界有多美开始信你个鬼最后又想骗我戴眼镜
图片尺寸840x811
1000度近视眼看到的世界竟然是这样
图片尺寸940x941
女朋友近视800度,要去游乐园玩,该阻止她吗?
图片尺寸793x504
近视眼的世界是怎样的200度勉强看见看到800度沉默了
图片尺寸564x458
高度近视超过600度究竟有多可怕
图片尺寸988x367
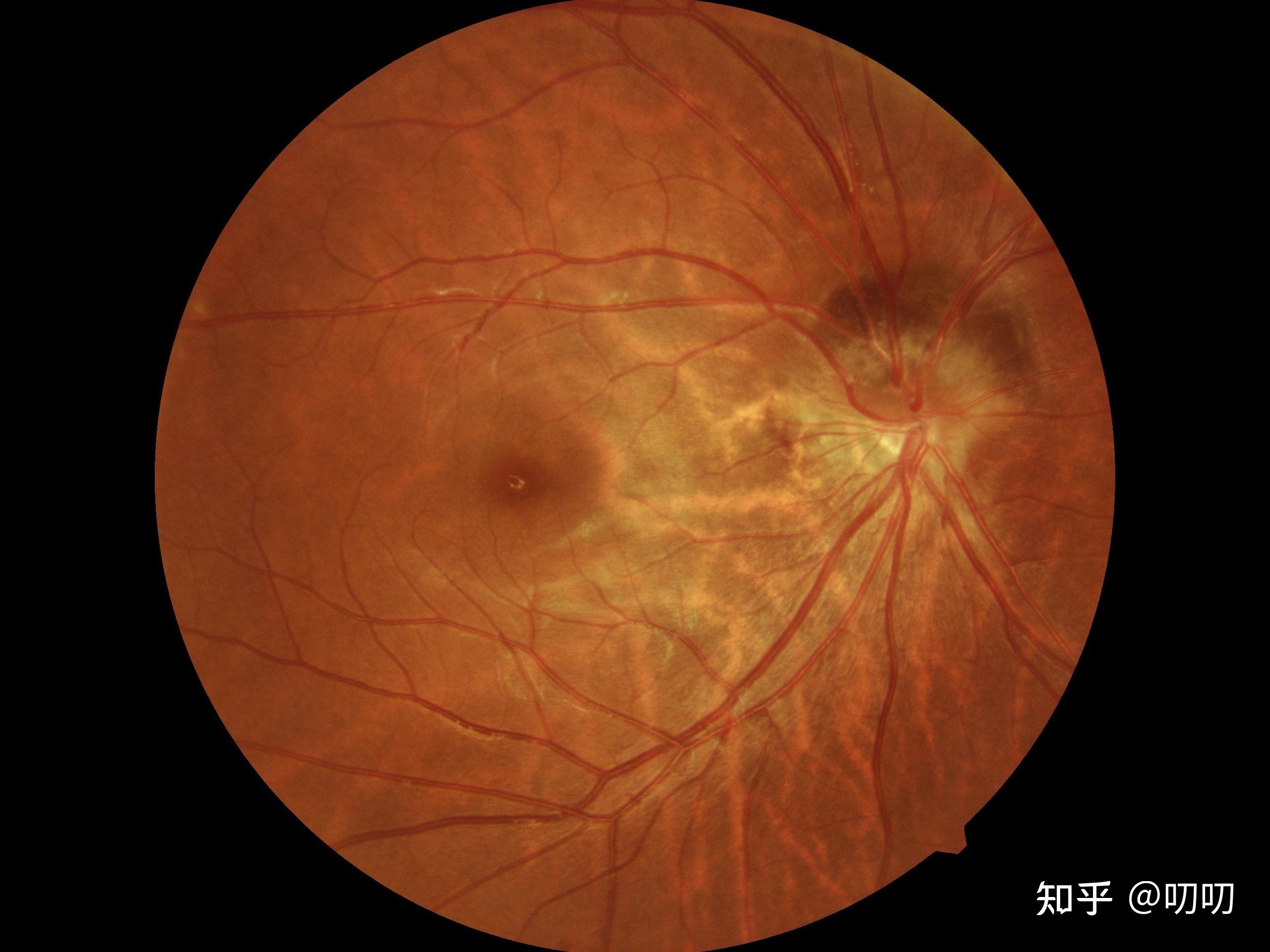
17岁记忆朦胧2个星期,虹视将近4月绝不是青光眼,一
图片尺寸1920x1080
真人案例 | 揭密「近视眼不用戴眼镜 」的真相!
图片尺寸934x977
先看看200度近视眼的世界,200度虽然算不上近视眼度数不太高,但是视力
图片尺寸650x502
近视的人为什么会有散光?这个原因99%的人都不知道!_眼睛_发展_角膜
图片尺寸575x300
如果你的近视大于600度请注意
图片尺寸660x421
高度近视如何保护眼睛我初一都800度了以后学业更重而且听说国内大学
图片尺寸2560x1920
近视的人眼中的世界
图片尺寸640x641
朦胧的街道,重叠的人影,这就是近视的人眼中的世界.
图片尺寸752x2008
700度近视手术的真实经历分享
图片尺寸1440x862
先天性散光700度,每副眼睛都是4000元起,在美国时候摔坏了镜片去
图片尺寸3024x4032