CD31

细胞特异性(desmin,myh1)和血管特异性标志物(sma, cd31)免疫组化染色
图片尺寸1390x907
anti-cd31 antibody 50μl
图片尺寸1280x1000
瑞典primare翩美cd31发烧cd机四只1704k解码芯片24比特
图片尺寸920x690
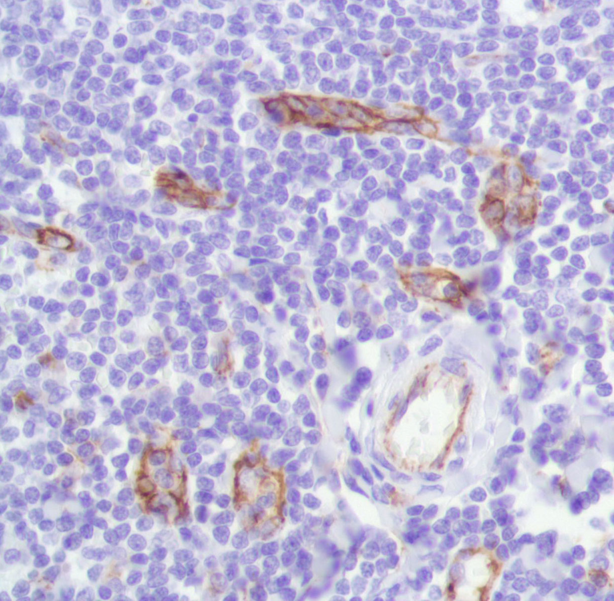
附图2b:对cd31,plgf和cxcr4免疫染色的人nsclc肿瘤切片的代表性显微
图片尺寸878x870
小鼠大脑cd31染色求助-丁香实验
图片尺寸3712x2784
免疫荧光非特异性-cd31-求辨别
图片尺寸2560x1920
endothelial α6β4 integrin protects during experim
图片尺寸472x634
免疫组化cd31 是什么意思
图片尺寸500x333![anti-cd31 antibody [sp164]](https://imgs.wantubizhi.com/img/735A5D1F980B52A636CC46F12F2D1A739B7B9E58D87DE0A026A7D3943337B984D4D191DDBA9726C2EB2496E20B52B8189CDF88D4729A87055D937F4892D95F42BE51B79B0AAA18ADF52FBFD167E0878CE8ECA7A0D6A5AC7B01A6704D5CCE312E)
anti-cd31 antibody [sp164]
图片尺寸1222x1197
anti -cd31 mouse mab ¥850 货号: gb12064 规格: 100μl
图片尺寸1000x1000
endothelial cell marker (cd31,cd34,icam1,cd45)抗体sampler组合-人
图片尺寸600x600
anti-cd31 antibody 50μl
图片尺寸1280x1000
免疫荧光非特异性-cd31-求辨别
图片尺寸2560x1920
【交流】cd31免疫荧光图片
图片尺寸1360x1024
cd31 antibodies
图片尺寸1280x1000
anti-cd31 antibody
图片尺寸1280x960
anti-cd31 antibody
图片尺寸1280x1000
cd31 (pecam-1) (89c2) mouse mab #3528
图片尺寸520x350
hcd31为血管细胞标志物;stem121为人脑干细胞标志物;dapi为细胞核染料
图片尺寸956x505
这是皮肤组织cd31的免疫组化照片,请问箭头所指的是血管吗?
图片尺寸1500x1125