CT光片

拍个腰部ct大概多少钱腰椎拍了x光片
图片尺寸2048x1536
包图网_pki448293胸部 x 光片显示3厘米胸膜为基础的结节在上部叶, 具
图片尺寸3628x3000
1x线/光片2ct3核磁共振#医学生实习
图片尺寸640x425
警惕持续存在的肺斑片影它不一定是炎症更可能是肺癌
图片尺寸1024x1024
第一次ct(18时)示右侧基底节区脑出血量约24ml近日,120紧急转入西安市
图片尺寸600x450
肺部感染ct怎么看看完这篇立刻入门
图片尺寸502x505
黄海波的ct光片,白色部分即为冠状病毒的感染区域.
图片尺寸640x853
search results for: petct检查从颈颈部部至 - msd诊疗手册专业版
图片尺寸1000x841
医用彩超光片drct胶片打印电影电视小品道具打印纸
图片尺寸1080x1440
肺泡蛋白沉着症ct病例!
图片尺寸1200x1080
19)示:与本院2019.02.15日颅脑ct对比,出血灶较前稍吸收.
图片尺寸2667x2000
现分享几例患者的ct片如下
图片尺寸750x563
李涵父亲的ct光片,白色部分即为冠状病毒的感染区域,后面几乎全白.
图片尺寸640x1137
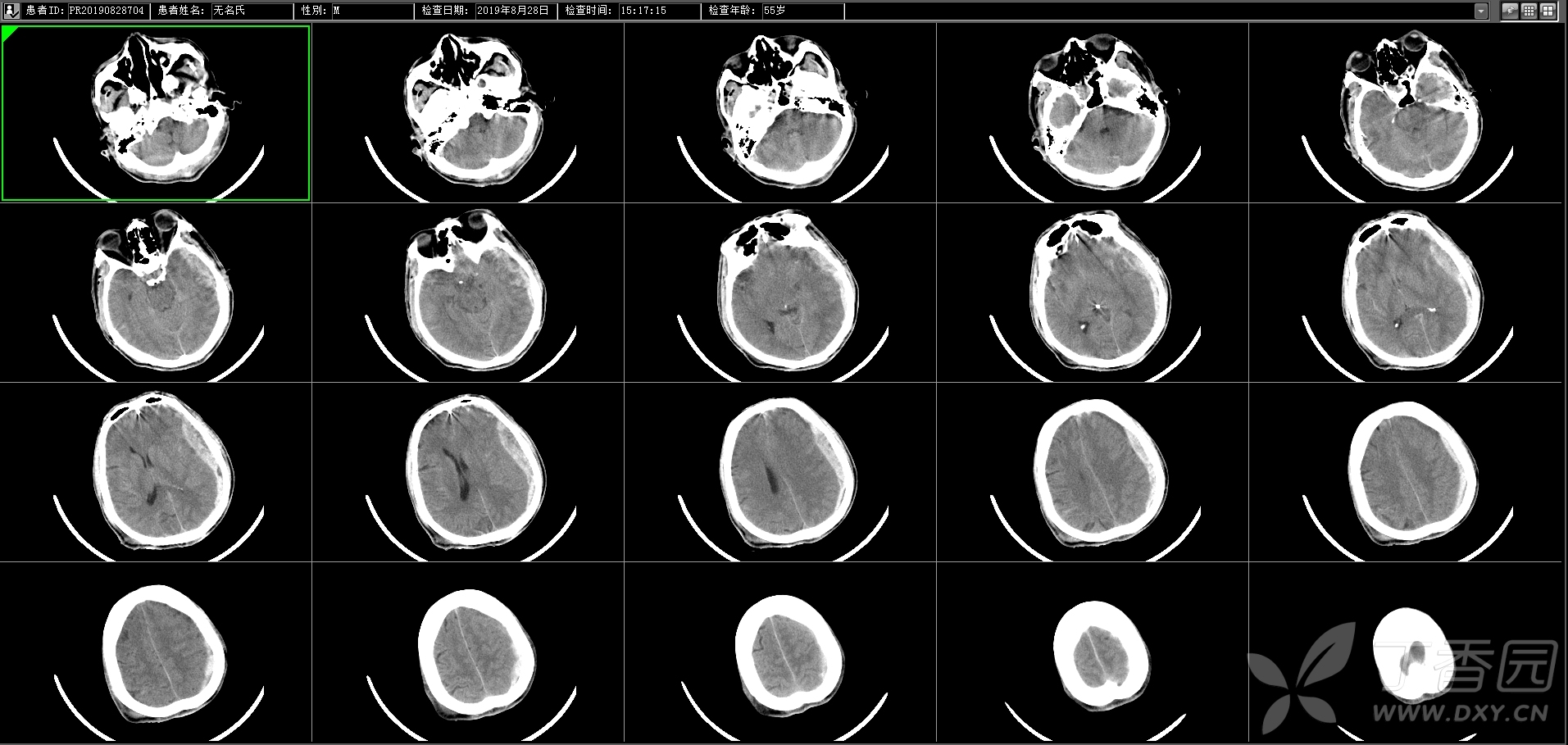
术前头部ct
图片尺寸1913x909
脑部核磁共振光片图图片素材-人体头颅ct图片创意图片素材-jpg图片
图片尺寸800x700
治疗后复查ct,瘤体明显缩小,肺组织复张
图片尺寸2000x2667
其它 常丹丹的美篇 写美篇影像学表现: 胸部ct平扫结合三维重建片示
图片尺寸2667x2000
【涨姿势】x线光片,ct片.竟然可以放在口袋里!_手机搜狐网
图片尺寸640x960
x光图片
图片尺寸1280x1101
做ct拍片还是做b超对健康有啥影响医生告诉你检查要这样选
图片尺寸1000x742