LE细胞

走近le细胞
图片尺寸640x426
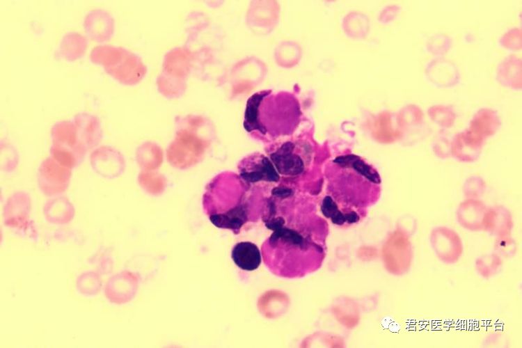
le细胞大家常见,但是上述涂片细胞内有均匀体颗粒的并不常见,恐怕很少
图片尺寸750x792
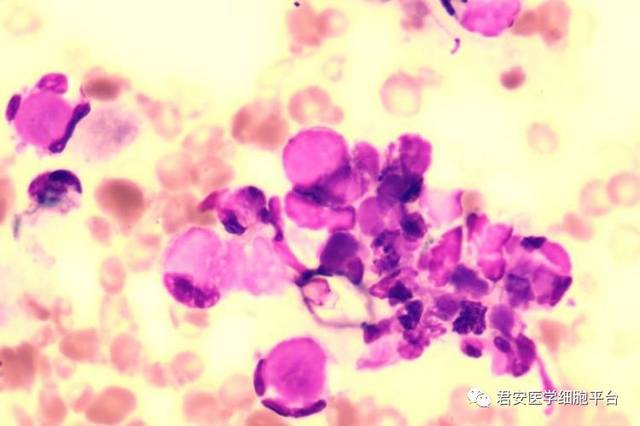
le细胞大家常见,但是上述涂片细胞内有均匀体颗粒的并不常见,恐怕很少
图片尺寸750x759
走近le细胞
图片尺寸750x500
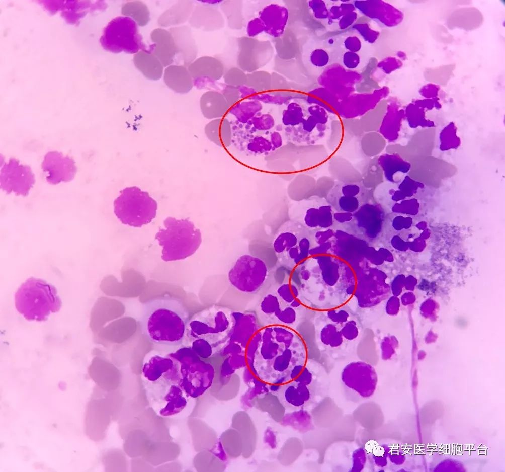
疾病知识及讨论le细胞大家常见,但是上述涂片细胞内有均匀体颗粒的并
图片尺寸1004x938
le细胞大家常见,但是上述涂片细胞内有均匀体颗粒的并不常见,恐怕很少
图片尺寸750x822
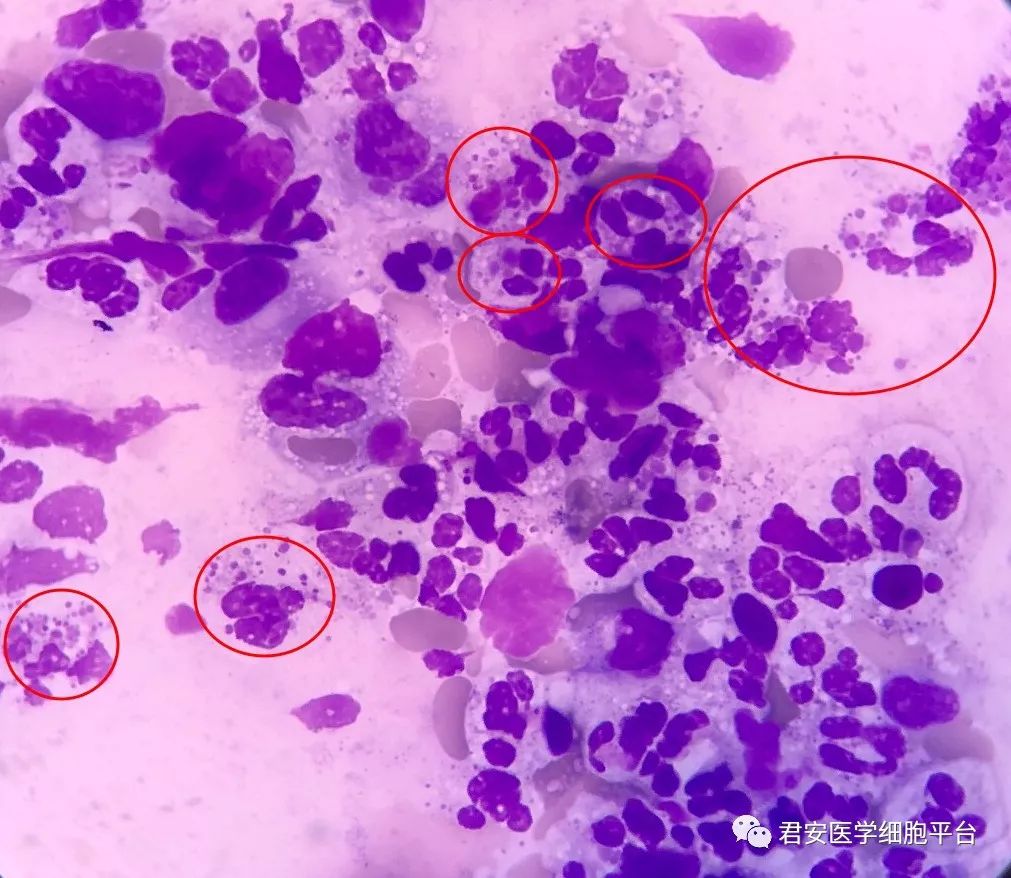
疾病知识及讨论le细胞大家常见,但是上述涂片细胞内有均匀体颗粒的并
图片尺寸1011x878
疾病知识及讨论le细胞大家常见,但是上述涂片细胞内有均匀体颗粒的并
图片尺寸936x853
走近le细胞
图片尺寸750x500
le细胞大家常见,但是上述涂片细胞内有均匀体颗粒的并不常见,恐怕很少
图片尺寸750x733
in vitro generation of myeloid derived suppressor cells - google
图片尺寸868x1262
le细胞大家常见,但是上述涂片细胞内有均匀体颗粒的并不常见,恐怕很少
图片尺寸750x833
疾病知识及讨论le细胞大家常见,但是上述涂片细胞内有均匀体颗粒的并
图片尺寸966x854
lebrilla教授领导的研究小组处理了源自人类胆管癌或胆管癌的细胞
图片尺寸530x297
肺结核更正:上皮样细胞有的有八字形核(我没画出来)7.鳞状细胞癌8.
图片尺寸1536x2048
细胞细胞细胞
图片尺寸1080x1439
造血干细胞发育
图片尺寸1080x810
阳性对照肺脏:末端细支气管柱状上皮细胞作为"低表达者"(le)阳性组织
图片尺寸761x476
详情核糖体,旧称"核糖核蛋白体"或"核蛋白体",是细胞中的一种细胞器
图片尺寸300x594
复旦大学脑科学研究院
图片尺寸1078x1078