M24怎么画皮肤

手绘和平精英 m24星之信仰 ,你觉得能涨十个粉丝吗?
图片尺寸1280x720
手绘m24众神之王今天赛季结束你到什么段位了和平精英画画简笔画
图片尺寸720x1280
皮众所周知,暗星紫秘是一款实装已久的新军需,目前随着配件皮肤的曝光
图片尺寸660x367
和平精英历代m24经典皮肤盘点最后一款堪称史诗级天神之作
图片尺寸800x360
m24星之信仰皮肤太好看了!
图片尺寸641x316
和平精英m24和awm已落伍最好的狙近战比akm更强
图片尺寸641x361
玄武栓狙:m24 2个成长型皮肤:彩虹之上/悟空98k 1个成长型皮肤:猛虎
图片尺寸1280x476
从图片上看,"暗星紫秘"这个系列的枪皮肤一共有4款,但目前除了升级m24
图片尺寸3740x2803
皮肤_外观_玩家
图片尺寸3552x2668
发射阻击抢男孩玩具枪和平精英皮肤软弹狙枪 m24紫星信仰送挂件【图片
图片尺寸760x1213
皮肤_外观_玩家
图片尺寸4624x3468
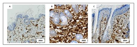
【文献解读】pdrn对银屑病皮肤症状的改善作用-循证医学研究院_炎症
图片尺寸752x393
皮肤_冲锋枪_武器
图片尺寸940x461
和平精英:m24皮肤白买了,连狙变主流,被忽视的它成大神首选_狙击
图片尺寸1000x569
皮肤
图片尺寸540x270
和平精英:m24是冷门武器?升级皮肤不值得,玩家预测光子要加强它!
图片尺寸1000x561
和平精英皮肤枪m24合金吃鸡装备模型amw狙金属98k玩具枪m762突击步抢
图片尺寸800x800
我们普通玩家争得头破血流的m24,98k在他们大部分人眼中是视而不见的
图片尺寸2688x1242
和平精英m24皮肤白买了连狙变主流被忽视的它成大神首选
图片尺寸640x354
【文献解读】pdrn对银屑病皮肤症状的改善作用-循证医学研究院_炎症
图片尺寸450x157