Mallory小体

mallory 小体
图片尺寸1422x834
mallory的小故事
图片尺寸771x492
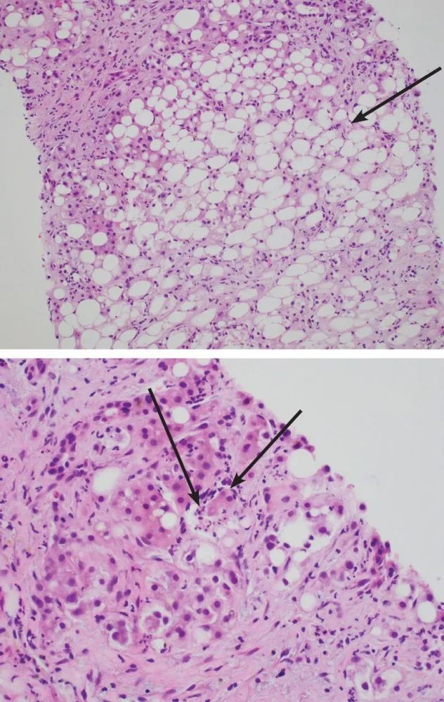
急性酒精性肝炎:mallory小体,肝细胞坏死,胶原沉积,脂肪变
图片尺寸504x331
【求助】mallory小体
图片尺寸369x246
图3:酒精性肝炎,箭头所指为mallory小体图4:酒精性肝纤维化编写者
图片尺寸486x333
手把手病例剖析新发腹水肝酶异常如何诊断
图片尺寸632x1000
肝病病例
图片尺寸600x506
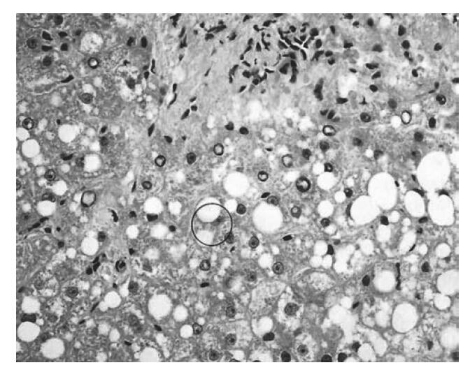
mallory小体:指肝细胞玻璃样变时,胞质中细胞中间丝前角蛋白变性,多
图片尺寸690x568
酒精肝特有的病理损伤特点全部都有,气球样变,窦周纤维化,mallory小体
图片尺寸600x450
果果酱考点你还欠我一篇带图的病理小体总结
图片尺寸690x518
样变,可见脂肪样夹杂细胞肉芽肿,少数气球样变细胞,并见mallory小体
图片尺寸1024x768
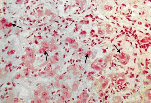
he×400 mallory小体
图片尺寸640x245
枯否细胞增大,有些患者见到特征性mallory小体,类似急性酒精性肝炎,还
图片尺寸672x533
细胞骨架体系ppt
图片尺寸1080x810
mallory磷钨酸苏木素染色液ptah自然氧化法试剂盒
图片尺寸850x850
肝,空泡为肝细胞内的脂肪滴图3:酒精性肝炎,箭头所指为mallory小体图4
图片尺寸450x309
图片浏览
图片尺寸300x198
iron - prussian blue reaction - mallorys method
图片尺寸770x587
放大的粉色细胞素材
图片尺寸1200x844
区轻度炎症,少量点灶状坏死,可见少数肝细胞气球样变,可见mallory小体
图片尺寸572x429