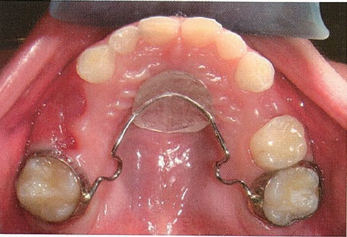
Nance弓间隙保持器

可制作nance弓保持器;双侧下颌第二乳磨牙早失,可制作舌弓间隙保持器
图片尺寸690x471
预防性矫治间隙保持器
图片尺寸400x265
保持器有很多种,你会选择哪一种?
图片尺寸900x900
间隙保持器的作用 - 好大夫在线
图片尺寸1600x1093
你了解自己的保持器吗?
图片尺寸404x201
联合增强支抗型nance托
图片尺寸500x375
保持器
图片尺寸1080x1441
nance弓的弯制上颌间隙保持器
图片尺寸2630x1644
保持器佩戴多久换一副
图片尺寸640x384
间隙保持器什么情况适用?
图片尺寸1080x675
乳牙早失后,医生为什么建议做「间隙保持器」?是不是在坑钱?
图片尺寸1600x1066
正畸治疗完成后用到的三种保持器
图片尺寸828x1151
活动式间隙保持器,除可维持间隙还可恢复咀嚼功能舌弓式保持器乳牙早
图片尺寸1600x1200
儿童间隙保持器_牙颌畸形_治疗方法_治疗方式 - 好大夫在线
图片尺寸1280x853
间隙保持器
图片尺寸1080x675
nance 弓
图片尺寸474x355
小小身材大本领 乳牙早失之间隙保持器
图片尺寸600x802
间隙保持器,恒牙未来的"家"
图片尺寸412x312
关于保持器的2个疑问
图片尺寸560x430
下颌舌弓式间隙保持器 妃她正畸
图片尺寸1440x1080