RECIST

recist评价标准
图片尺寸546x282
实体瘤疗效评价标准recist11资料ppt
图片尺寸860x645
肿瘤小知识Ⅰrecist疗效评价标准
图片尺寸1080x1439
实体瘤疗效评价标准recist11
图片尺寸647x451
实体瘤疗效评价新标准(recist_1)-修改版
图片尺寸1080x810
实体瘤疗效评价标准recist11
图片尺寸833x684
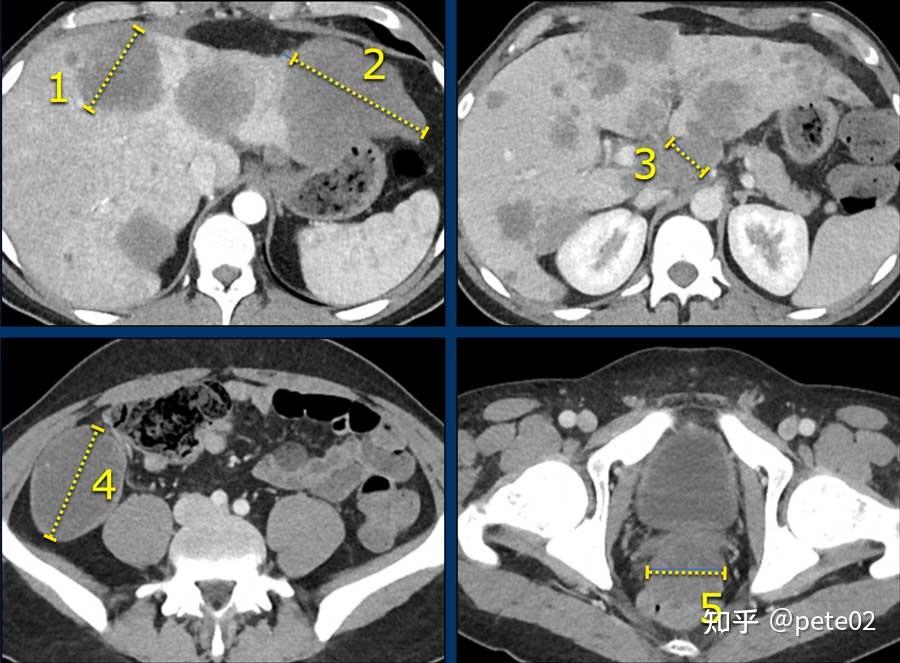
实体肿瘤疗效评价标准:recist 1.1 - 知乎
图片尺寸900x663
实体瘤疗效评价新标准(recist 1)-修改版ppt
图片尺寸1080x810
免疫治疗疗效评价标准recist11和irrecist选哪个
图片尺寸1080x611
实体瘤免疫相关疗效评价标准(irrecist)
图片尺寸590x721
who或recist对疗效的定义比较i知识讲稿.ppt
图片尺寸1152x864
irecist免疫治疗疗效评估标准知多少
图片尺寸720x610
完整版实体瘤疗效评价标准recist11版中文
图片尺寸920x1303
实体肿瘤疗效评价recist11
图片尺寸920x690
实体肿瘤疗效评价标准recist
图片尺寸920x690
来了irecist中文版
图片尺寸438x200
解读recist11
图片尺寸920x690
实体瘤疗效评价新标准recist11
图片尺寸920x690
实体瘤疗效评价新标准(recist 1)-修改版ppt
图片尺寸1080x810
recist与mrecist疗效评价标准比较recist标准以肿瘤最大直径(包括存活
图片尺寸1091x328