Tinel

2 tinel征阳性.1 临床表现.诊断4,后期出现大鱼际萎缩.
图片尺寸898x638
4指,可以有上肢疼痛,但 很少颈肩部疼痛 屈曲手腕诱发,tinel征阳性
图片尺寸1080x810
叩击腕部可出现tinel征(叩击时拇,食,中指出现放射状麻痛).
图片尺寸750x297
神经干扣击试验(tinel征): 神经损伤后或损 伤神经修复后,在相应平面
图片尺寸1080x810
1,tinel征,在腕韧带近侧缘处用手指叩击正中神经部位,拇,食,中三指有
图片尺寸640x421
时,常呈典型的"爪形手"(图5);腕部尺神经管的tinel征多为阳性(图6)
图片尺寸409x416
大家帮我看个片子
图片尺寸3008x2000
染色体病之特纳综合征/45,xo - 好大夫在线
图片尺寸730x554
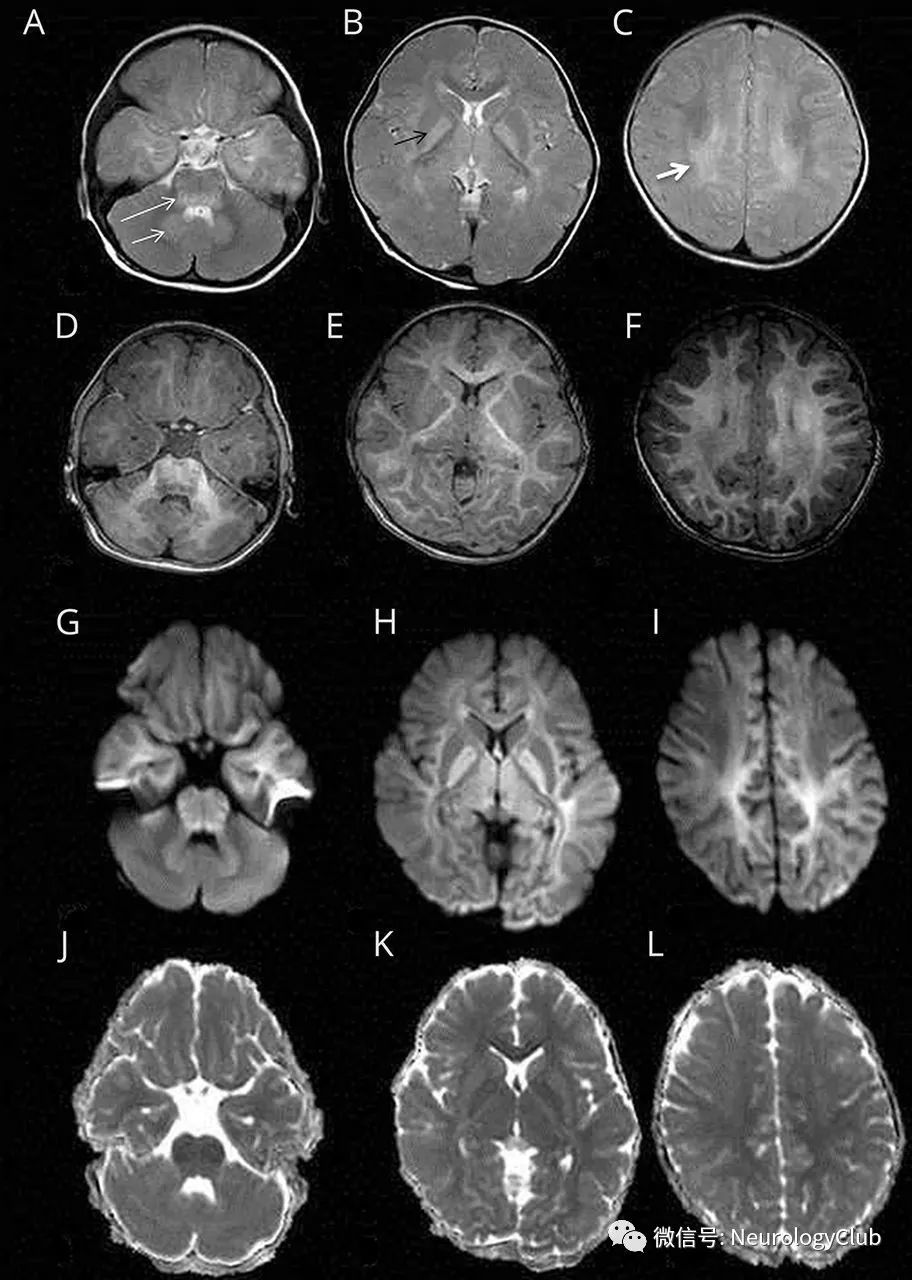
影像挑战:3岁女孩,发作性共济失调
图片尺寸912x1280
3 人类遗传病课件共29张ppt(海南省文昌中学 李学彬)(共29张ppt)
图片尺寸1080x810
论坛
图片尺寸1080x1268
无忧文档 所有分类 医药卫生 临床医学 心包积液ppt 体征
图片尺寸1080x810
(2)tinel征 阳性率较高,常于发病4~5个月后出现.
图片尺寸1199x1199
感染?
图片尺寸464x512
经查体显示其大鱼际无明显萎缩,tinel征阳性.肌电图提示为腕管综合征.
图片尺寸760x495
11个案例助你掌握艾滋病相关七大类颅内感染影像学表现
图片尺寸640x769
(2)tinel征 阳性率较高,常于发病4~5个月后出现.
图片尺寸1199x1199
haodf:8:jingzhuibing--> !--haodf:8:jingzhuibing--> !
图片尺寸600x675
头条文章
图片尺寸805x881
叩击腕部可出现tinel征,腕关节极度屈曲60秒,手的感觉异常可加重
图片尺寸643x815