Wernicke

wernicke脑病mri表现
图片尺寸887x500
韦尼克失语症(wernicke aphasia)
图片尺寸960x600
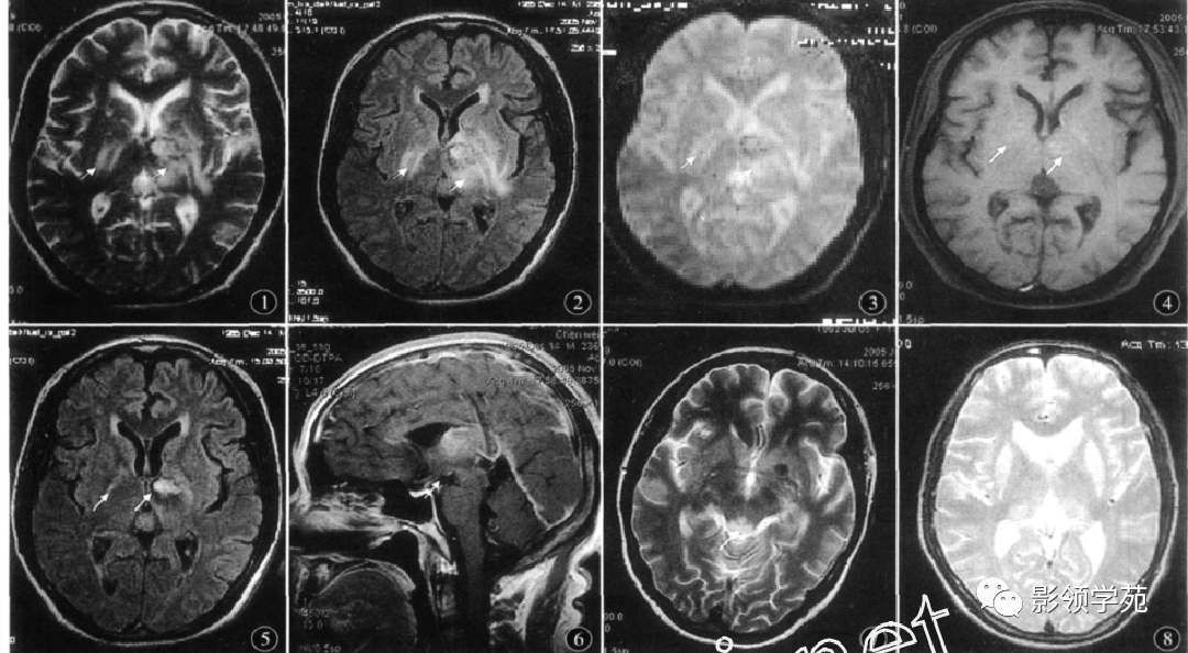
wernicke脑病的影像诊断
图片尺寸1080x608
wernicke建立语言通路
图片尺寸640x397
wernicke脑病mri表现
图片尺寸1080x594
wernicke脑病的影像诊断【zdzt079】
图片尺寸1080x608
wernicke脑病的影像诊断
图片尺寸1080x608
【4周达】the broca-wernicke doctrine: a historical and clinical
图片尺寸800x800
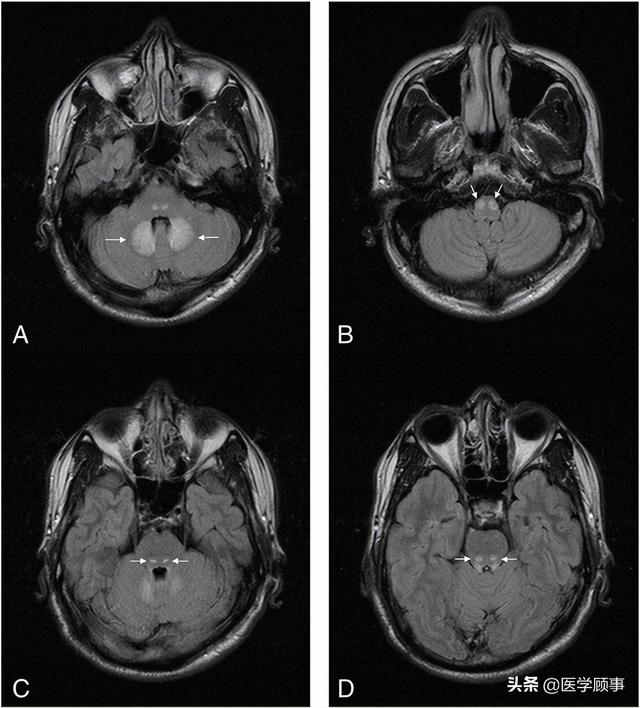
wernicke脑病的影像特点
图片尺寸640x708
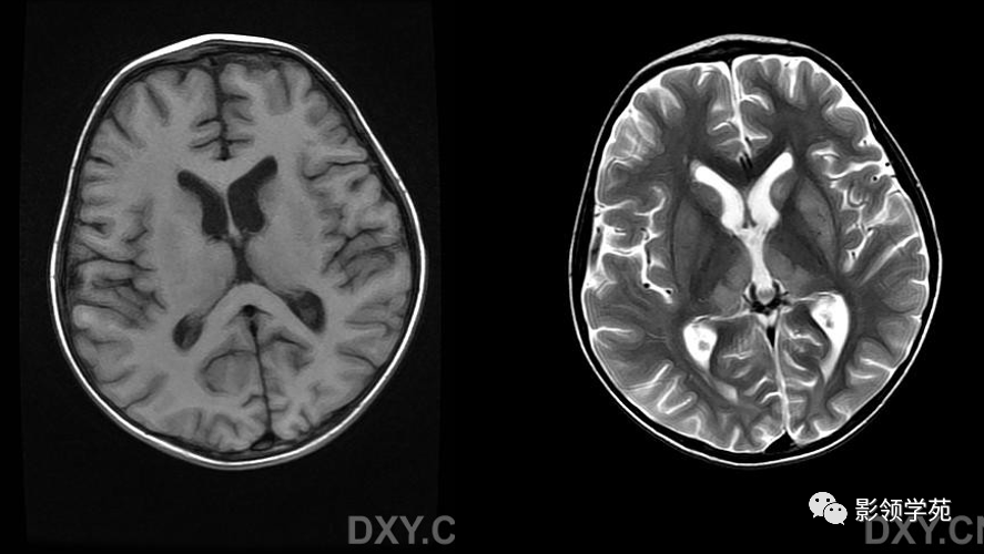
wernicke脑病mri表现
图片尺寸835x514
被吼叫的孩子大脑"受损"严重,看完你还敢吼他吗?
图片尺寸909x632
wernicke脑病影像表现
图片尺寸1080x810
wernicke脑病影像表现
图片尺寸1080x810
globe wernicke file section
图片尺寸400x300
wernickes encephalopathy and polyradiculoneurpathy after
图片尺寸373x197
globe wernicke file section
图片尺寸400x300
都是减肥惹的祸:wernicke 脑病一例
图片尺寸508x515
paul broca,1824╟1880)和德国人 卡尔 · 韦尼克(carl wernicke
图片尺寸400x570
globe wernicke file section
图片尺寸400x300
globe wernicke file section
图片尺寸400x300