Wernicke脑病

wernicke脑病的影像诊断
图片尺寸1080x608
wernicke脑病的影像诊断
图片尺寸1080x608
wernickes脑病一例
图片尺寸700x761
wernicke脑病的影像诊断
图片尺寸1080x608
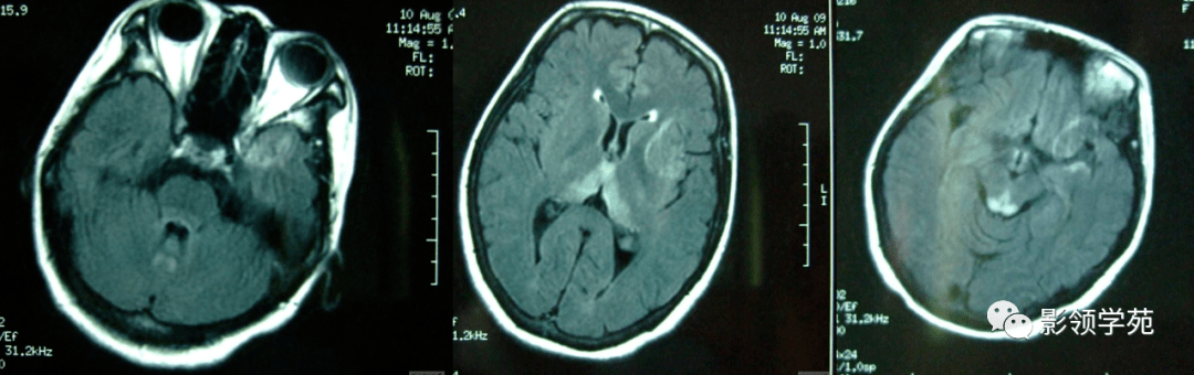
wernicke脑病mri表现
图片尺寸887x500
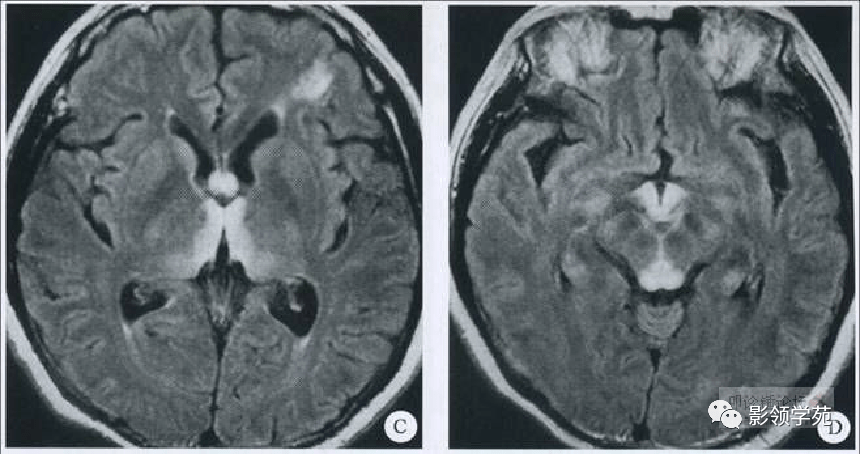
wernicke脑病影像表现
图片尺寸1080x810
韦尼克脑病ppt 第12页 (共25页,当前第12页) 你可能喜欢 wernicke脑病
图片尺寸1080x810
wernicke脑病mri表现
图片尺寸1080x340
一男子每日饮白酒半斤被医生诊断wernicke脑病
图片尺寸1116x572
wernicke脑病mri表现
图片尺寸1080x594
wernicke脑病的影像特点
图片尺寸640x708
wernicke脑病
图片尺寸480x518
wernicke脑病的影像诊断
图片尺寸1080x608
wernicke脑病影像表现
图片尺寸1080x810
wernicke脑病及几种常见代谢性脑病的ct鉴别诊断
图片尺寸588x662
wernicke脑病的影像诊断【zdzt079】
图片尺寸1080x608![8如果您觉得这篇文章对您有用,欢迎转发出去~参考文献[1] wernicke](https://imgs.wantubizhi.com/img/ADDA3C5D760C6828B77B505A29D43E834F0B79E8A06FC196A5A67120EB559CD2F845BFC034996CF886416CEB4664BB4CA2FC8E600BC6FD60E448A556F5017C286CA31CEB72C7FFA28A3EFC3388C7391B8939B65BB03FAD72359C94FE12E7DA2E)
8如果您觉得这篇文章对您有用,欢迎转发出去~参考文献[1] wernicke
图片尺寸635x707
wernicke脑病mri表现
图片尺寸860x454
wernickes脑病一例
图片尺寸700x841
都是减肥惹的祸:wernicke 脑病一例
图片尺寸508x515