andrews正畸

frank功能矫治器治疗替牙安氏三类期患者
图片尺寸680x453
正畸科普 andrews的正常(牙合)六项标准
图片尺寸1080x720
正畸科普 andrews的正常(牙合)六项标准
图片尺寸1080x560
正畸科普 andrews的正常(牙合)六项标准
图片尺寸1080x560
正畸科普 andrews的正常(牙合)六项标准
图片尺寸1080x840
正畸科普andrews六要素
图片尺寸1080x488
正畸临床病例八横向先行扩弓的方法与技巧
图片尺寸640x535
正畸科普andrews六要素
图片尺寸1080x1018
正畸科普andrews六要素
图片尺寸554x588
h. roth)对andrews直丝弓矫治器进行了改进,使之更为简合理.
图片尺寸1080x630
颌面协调六要素"在正畸治疗效果评价中的应用_矫治_相关研究_andrews
图片尺寸900x600
andrews医师访问北京大学口腔医学院由中华口腔医学会口腔正畸专业
图片尺寸1449x1995
will andrews亲临亲授,课程内容抢先了解!_要素_诊断_治疗
图片尺寸2904x1604
替牙期安ii类twinblock治疗9个月对比照片
图片尺寸2304x1536
正畸科普andrews六要素
图片尺寸1080x1662
frank功能矫治器治疗替牙安氏三类期患者
图片尺寸680x453
替牙期安ii类twinblock治疗9个月对比照片
图片尺寸2304x1536
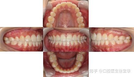
正畸治疗中常以andrews的正常合六标准作为牙齿咬合的治疗目标.
图片尺寸438x251
与andrews2直丝弓矫治器完美结合的有效矫治策略.
图片尺寸370x335
正畸临床依据:andrews正常颌的特征
图片尺寸640x366