apoptosis小体

包裹胞质,内含dna物质及细胞器,形成泡状小体称为凋亡小体(apoptosis
图片尺寸427x400
原创笔记最新最全的细胞凋亡整理
图片尺寸554x399
丁香园论坛
图片尺寸504x331
的囊泡结构统称,这些囊泡的直径约30nm-9um,其包括凋亡小体(apoptosis
图片尺寸554x456
细胞凋亡与检测技术
图片尺寸600x432
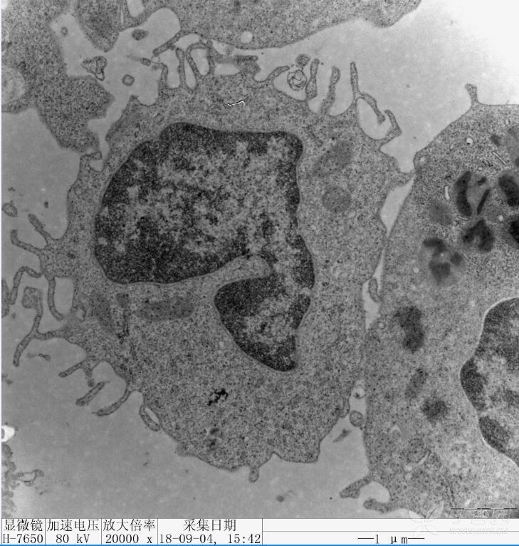
那些黑色的是否就是凋亡小体?还是溶酶体?
图片尺寸729x766
细胞凋亡如何检测medchemexpress
图片尺寸1080x764
高中生物教案设计《细胞凋亡》
图片尺寸1367x949
这些「病理小体」你都认识吗?| 一页手册 · 协和八
图片尺寸355x355
请教一个细胞的问题 - 分子生物 - 小木虫 - 学术 科研 互动社区
图片尺寸1024x1019
in apoptosis condensation and fragmentation of
图片尺寸352x800
项目文章 | autophagy: 线粒体自噬缓解急性肾损伤的分子机制
图片尺寸1200x1585
神经毒理学最新章节_陈景元著_掌阅小说网
图片尺寸1713x939
凋亡小体c.巨噬细胞b.间皮细胞a.嗜酸性粒细胞14.
图片尺寸698x581
abmole科研-rapamycin减轻大鼠急性肾损伤线粒体损伤及肾小管细胞凋亡
图片尺寸842x822
细胞凋亡与坏死的区别和实验观测一
图片尺寸619x598
39821664177363421
图片尺寸1080x245
诱导感染肝细胞凋亡:一种潜在治疗或治愈慢乙肝的新方法
图片尺寸1138x474
电子显微镜虽然光学显微镜下可以看见胞膜起泡现象和凋亡小体,但凋亡
图片尺寸602x337
格列酮诱导的hepg2细胞凋亡figure 2rosiglitazone-induced apoptosis
图片尺寸800x471