auer小体

auer小体
图片尺寸640x430
auer小体
图片尺寸423x323
一例外周血细胞内发现auer小体引发的感想_学术交流_检验视界_检验
图片尺寸521x407
▼「含奥氏小体的中性分叶核粒细胞(apl治疗后患者外周血)」形态特征
图片尺寸1080x948
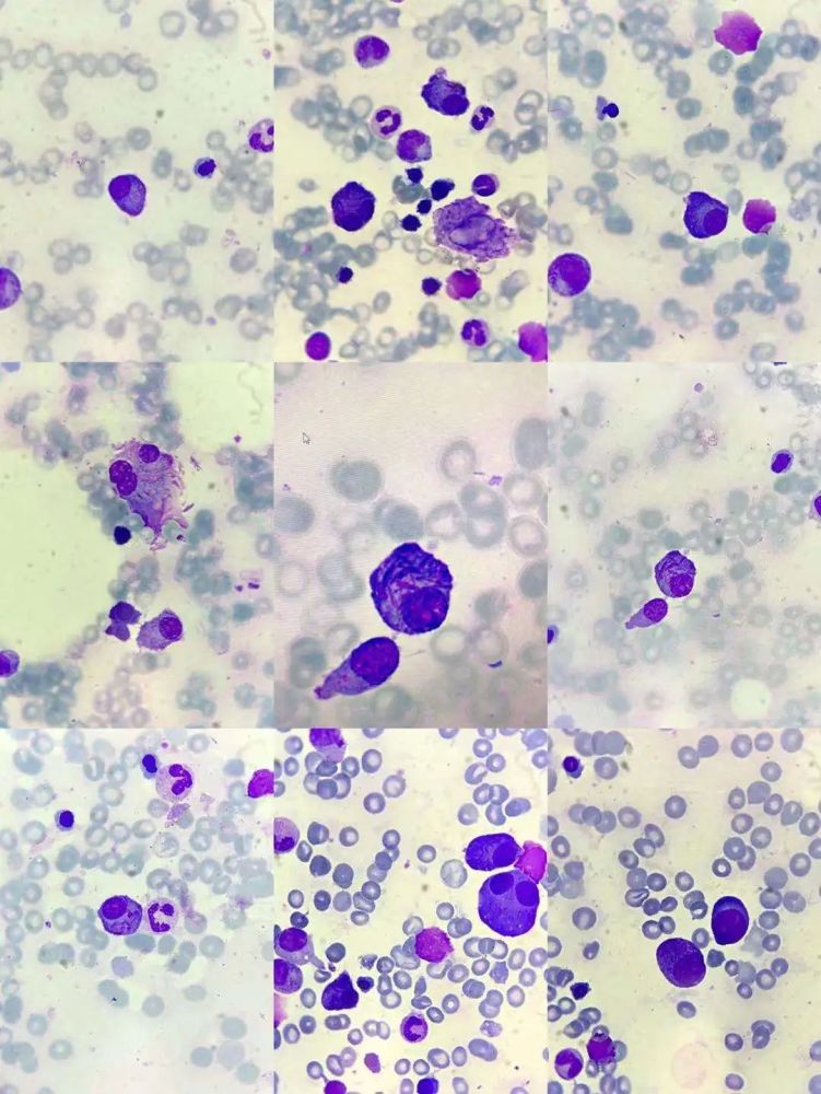
骨髓涂片中出现auer小体样包涵体浆细胞增多会是mm吗?_腾讯新闻
图片尺寸751x1000
在常规涂片镜检的时候,发现了大量的异常细胞,而且说是看到了auer小体
图片尺寸660x653
骨髓涂片中出现auer小体样包涵体浆细胞增多会是mm吗?_腾讯新闻
图片尺寸751x1000
一例外周血细胞内发现auer小体引发的感想_检客原创_检客原创_检验
图片尺寸640x492
真假auer小体
图片尺寸768x576
auer小体
图片尺寸220x165
auer小体,aml-m2,急性髓系白血病骨髓片
图片尺寸978x611
图3外周血涂片显示存在auer小体(白色箭头)和原始细胞(红色箭头),确定
图片尺寸555x357
▼「auer小体」形态描述:细胞胞质内一根细小的紫红色棒状结构,由胞质
图片尺寸750x563
其它 病例分享 写美篇auer小体: 是白血病细胞中的棒状小体.
图片尺寸1598x1198
一例外周血细胞内发现auer小体引发的感想_学术交流_检验视界_检验
图片尺寸523x455
auer小体
图片尺寸250x102
分型:如胞质颗粒粗大,密集或融合称粗颗粒型(m3a);如颗粒细小而密集
图片尺寸640x1139
嗜碱性粒细胞请报告箭头所指细胞的名称2017104都勒小体(d02hle
图片尺寸837x654
骨髓涂片中出现auer小体样包涵体浆细胞增多会是mm吗
图片尺寸660x454
一例外周血细胞内发现auer小体引发的感想_检客原创_检客原创_检验
图片尺寸640x574