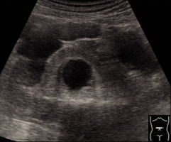
b超图膀胱

酒后憋尿摔一跤,都江堰33岁小伙子膀胱磕破了
图片尺寸2000x1502
一例2岁的田园猫和一例4岁的英短在腹部b超和腹部x光片中发现有膀胱
图片尺寸622x545
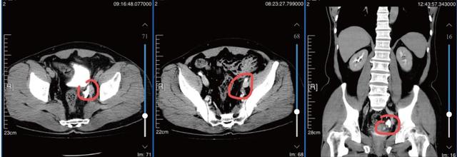
膀胱巨大憩室伴膀胱憩室癌_移行
图片尺寸600x600
去医院检查选ct,核磁还是b超,讲的太到位了 !快为父母收藏!
图片尺寸1080x759
b超检查结果提示:右输尿管上段结石和膀胱结石.
图片尺寸481x641
惊呆!宁波一名18个月大男婴肾脏,输尿管,膀胱长结石
图片尺寸374x395
体检故事|膀胱癌_新浪财经_新浪网
图片尺寸1080x1439
西安市中心医院的超人特攻队术中超声介入
图片尺寸1000x375
从"笑尿了"浅谈盆底超声_膀胱_尿道_检查
图片尺寸475x166
(4)尿路平片及膀胱和静脉肾盂造影.(3)b超检查.
图片尺寸538x345
高度恶性膀胱癌患者还有保留膀胱的希望吗
图片尺寸640x220
膀胱_郁金香_男孩子
图片尺寸1080x736
52岁大妈膀胱结石开刀数十次,腹部疤痕似"怪兽口"
图片尺寸576x400
输尿管囊肿
图片尺寸220x169
肾融合
图片尺寸241x200
按摩_膀胱_尿液
图片尺寸585x708
憋尿还是不憋尿,超声医生告诉你~_检查_妇幼保健院_膀胱
图片尺寸750x562
记住这5个小妙招_膀胱_妈妈_训练
图片尺寸1300x650
膀胱挛缩
图片尺寸300x477
高度恶性膀胱癌患者还有保留膀胱的希望吗
图片尺寸640x480