brainstem

你和癌症之间可能只隔四步医生防癌远比治癌重要
图片尺寸586x583
五,脑干脑干(brainstem)是脑的一部分,位于大脑的下
图片尺寸640x378
339.脑 (内侧面观)
图片尺寸2019x1473
img_20160311_212813.png
图片尺寸1080x1042
brain stem tumor: treatment, prognosis & survival rate
图片尺寸350x264
脑干(brainstem)位于大脑下方,脊髓和间脑之间,是中枢
图片尺寸500x414
医学科普之蛛网膜下腔出血
图片尺寸695x360
脑子裂开后会发生什么
图片尺寸303x381
neuro - block1 - dorsal brainstem 1
图片尺寸500x355
论坛
图片尺寸640x646
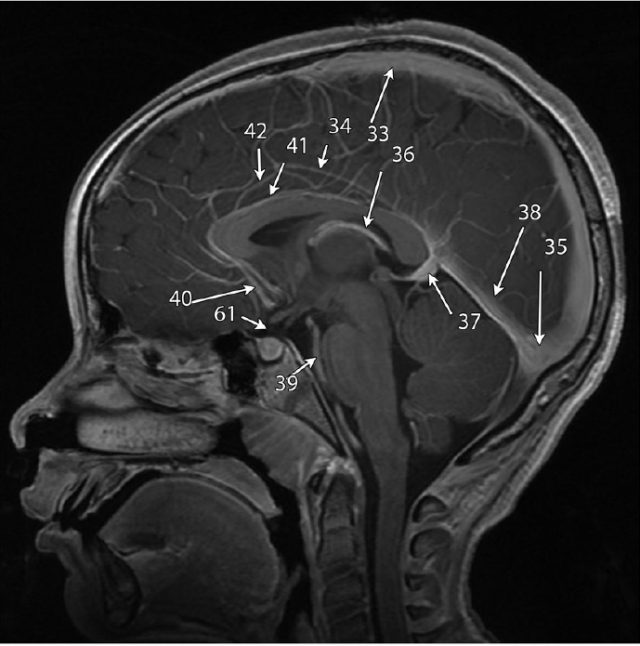
小儿脑干胶质瘤
图片尺寸1005x669
皮质延髓束
图片尺寸480x634
【儿童脑干胶质瘤简介】分期-症状-类型-nci(美国国家癌症研究所)指南
图片尺寸331x274
论坛
图片尺寸640x638
"好像在哪见过你"现在有了科学解释,一群脑细胞帮
图片尺寸640x508
编辑1基本简介brainstem hemorrhage英文名称脑干出血中
图片尺寸300x225
大脑情绪控制系统边缘系统
图片尺寸680x387
正常人体脑干解剖学-人体解剖图
图片尺寸457x406
小脑
图片尺寸640x624
手绘大脑
图片尺寸780x668