chadwick征

巴宾斯基(babinski)征: 3.奥本海姆(oppenheim)征: 4.
图片尺寸1080x810
神经系统查体到底查什么下草稿
图片尺寸3310x1725![[教学]推拿治疗学理论9.ppt](https://imgs.wantubizhi.com/img/ADDA3C5D760C6828B77B505A29D43E831F7B247009A5D57EB6CAF7717AA590957D4F87206A506C5A5B8A61BCEE783F4382D50C24BAE5AA5308812D2494D4E1C22C89FF2DE79700680FC1505739866949FFB6F57632F9C658DA46AA0C5AA05D1F)
[教学]推拿治疗学理论9.ppt
图片尺寸1152x864
巴宾斯基征髌阵挛babinski征霍夫曼氏征hoffmann征阳性霍夫曼征检查
图片尺寸960x720
临床思维:快速进展性痴呆伴共济失调的16岁男孩
图片尺寸1510x1108
论坛
图片尺寸1080x1268
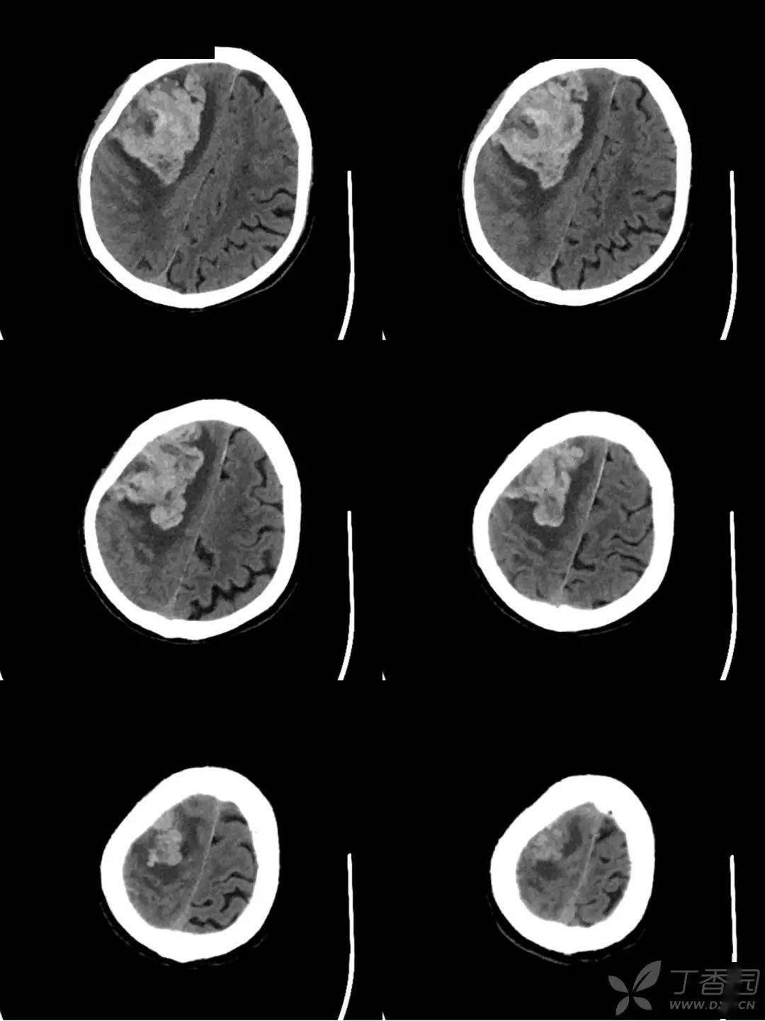
患者脑梗死在卫生院溶栓,为何多方治疗后病情加重?
图片尺寸1080x1440
住院1个月出院后又复发……这是怎么了?
图片尺寸424x318
正常腹部查体
图片尺寸1080x810
无忧文档 所有分类 医药卫生 临床医学 心包积液ppt 体征
图片尺寸1080x810
chadwicksena2018种几款智利葡萄酒
图片尺寸1080x1277
james chadwick
图片尺寸1145x1600
chadwick boseman
图片尺寸1189x661
▼《黑豹》男主角查德维克博斯曼(chadwick boseman),第90届奥斯卡
图片尺寸600x399
皮肤病诊断中的视觉感知,认知与错误:诊断与错误
图片尺寸1080x400
核桃佳子的相册-chadwick & spector
图片尺寸514x600
chaddock征用竹签沿足背外侧缘,从后向前至小趾根部,然后转向内侧到大
图片尺寸619x232
图3-34 babinski征图3-35 oppenheim征(5)查多克(chaddock)征:医生用
图片尺寸507x188
gordon征检者使用受以一定力量捏压腓肠肌,阳性表现为大脚趾背伸,其余
图片尺寸663x318
《黑豹》扮演者:查德维克·博斯曼(chadwick boseman)
图片尺寸2000x1233