cleavedcaspase分子量

一种caspase-8的多肽类特异性抑制剂及应用的制作方法
图片尺寸1762x2661
乙醇组炎性小体相关蛋白(il-1β,il-18,cleaved-caspase1,asc和gsdmd
图片尺寸606x789
同济大学附属同济医院海舰团队构建了一种用于治疗脑
图片尺寸866x477
caspase抑制剂及其应用
图片尺寸958x1000
anti cleaved caspase 3
图片尺寸793x987
western blotting image 1: cleaved caspase-3 (asp175) antibody
图片尺寸520x350
flow cytometry image 1: cleaved caspase-7 (asp198) (d6h1) rabbit
图片尺寸2080x1400
expression of -actin, bcl-2, bax, procaspase
图片尺寸1205x1504
flow cytometry image 1: cleaved caspase-3 (asp175) (d3e9) rabbit
图片尺寸2080x1400
flow cytometry image 1: cleaved caspase-3 (asp175) (d3e9) rabbit
图片尺寸2080x1400
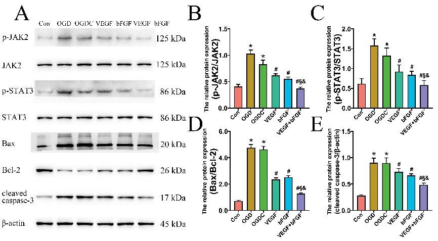
凋亡相关蛋白剪切型parp和caspase-3的表达,加重缺氧诱导后的atp耗竭
图片尺寸1268x1729
图片重复被质疑,作者回应后又被质疑,十堰市太和医院惹争议
图片尺寸760x760
anti cleaved caspase 3
图片尺寸611x872
caspase-4非典型炎症小体的先天免疫感知促进细胞衰老
图片尺寸1500x1751
western blotting image 1: cleaved caspase-8 (asp374) (e6h8s)
图片尺寸2080x1400
南方医科大学段传志团队报道tsg-6可减轻蛛网膜下腔出血后的细胞焦亡
图片尺寸809x368
cleaved caspase-3
图片尺寸3024x4032
blot analysis of hippocampal bcl-2, bax and cleaved caspase
图片尺寸1033x1275
rt-qpcr and western blot analyses of caspase-3, cleaved caspase
图片尺寸567x626
caspase-3,bax,自噬相关蛋白如lc3b等均为小分子蛋白,接下来将
图片尺寸732x378