conda征

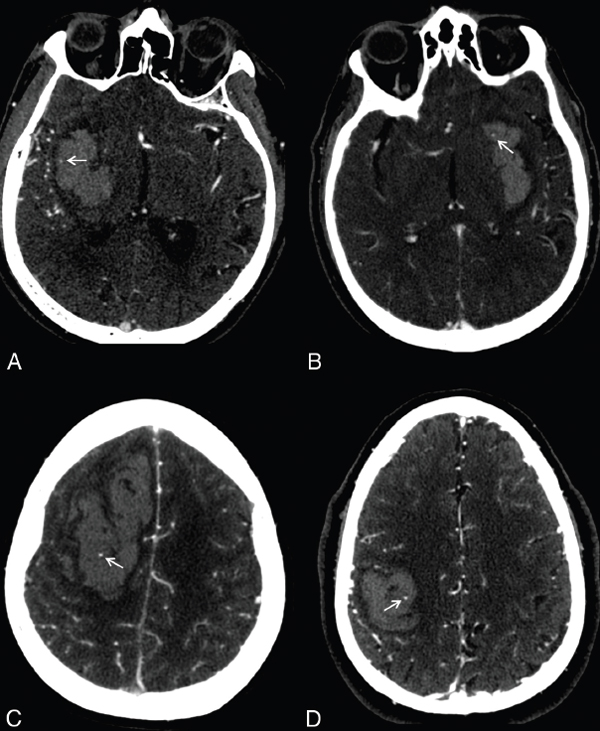
点征(spot sign)在临床上用的比较多,是以碘对比剂外渗作为标记物预测
图片尺寸600x731
conda环境相关命令全套
图片尺寸554x466
体育保健学_16人体各部位运动损ppt
图片尺寸1080x810
insular ribbon sign(岛带征) 2019-02-02 09:22 关注 点赞
图片尺寸1500x900
conda命令详解
图片尺寸2088x1390
【讲座】医学影像征象解析汇集(神经系统部分)
图片尺寸1400x1000
conda 国内源_极速安装软件的升级版 conda
图片尺寸601x228
常用 conda 命令
图片尺寸1179x701
conda的命令行基本使用
图片尺寸901x644
软件conda安装与使用
图片尺寸1139x746
conda命令详解
图片尺寸1690x578
conda cmd汇总
图片尺寸1564x718
conda源,添加删除
图片尺寸639x543
一文掌握conda软件安装虚拟环境软件通道加速solving跨服务器迁移
图片尺寸1080x726
conda 常用命令
图片尺寸882x439
conda–软件包与环境管理神器
图片尺寸992x393
conda不是内部或外部命令也不是可运行的程序
图片尺寸700x365
有关conda的一些常用指令操作
图片尺寸489x598
详解conda安装与使用
图片尺寸537x254
机器学习专家建议别再用pip下载tensorflow了换用conda
图片尺寸640x480