ct图像伪影

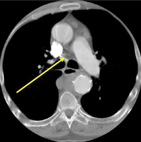
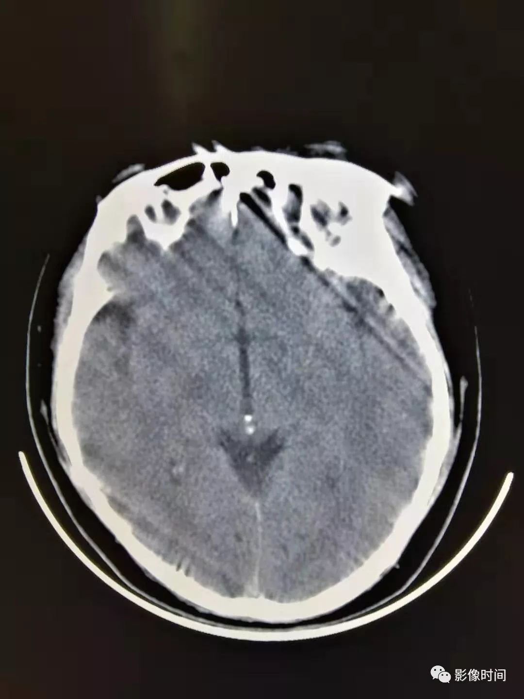
术后复查头颅ct,可见弹簧圈金属伪影
图片尺寸1199x1599
图1是扫面后得到的呼吸伪影较重的图像
图片尺寸849x636
ge ct图像满屏环形伪影,无报错故障维修
图片尺寸500x450
日立pronto第一次出现重大伪影
图片尺寸512x512
ct检查中那些您可能会忽视的伪影
图片尺寸1080x1440
ct检查中那些您可能会忽视的伪影
图片尺寸1080x1440
(衣服金属纽扣伪影)
图片尺寸736x666
杯状伪影,右侧为校正后图像由于现代扫描仪内置了简单的线束硬化校正
图片尺寸942x968
ct伪影根本原因与规避方法
图片尺寸672x554
ct检查中那些您可能会忽视的伪影
图片尺寸1080x810
ct伪影分析
图片尺寸493x388
ct伪影:根本原因与规避方法|探测器|扫描仪|伪影|ct|视野|-健康界
图片尺寸974x973
术后复查头颅ct,可见弹簧圈金属伪影,余无明显异常
图片尺寸1199x1599
此图为双排螺旋 ct图像, 伪影较16层及以上msct显著的多.
图片尺寸478x528
金属伪影/高密度异物伪影左侧为杯状伪影,右侧为校正后图像由于现代
图片尺寸400x215
ct图像重建中的伪影
图片尺寸490x493![平片,ct伪影与假象 [精华]](https://imgs.wantubizhi.com/img/735A5D1F980B52A636CC46F12F2D1A7368EC12F368B8EC05D3BEAFDC3CF3D094745AB94283C9AAD2E1DCFBC3F1A79B7DC720C7BC26A62C77BD3DF29CCBD3B34E2C90074DB29E98DC59F75FBCCFDF16A7D20F72C65A3224248977591358D9D031)
平片,ct伪影与假象 [精华]
图片尺寸371x334
实验结果表明,使用li-mar算法对原始图像校正后,靠近金属周围的暗伪影
图片尺寸552x382
ct伪影根本原因与规避方法
图片尺寸955x1199
基于变分的ct图像环形伪影校正
图片尺寸271x275