ct头部扫描定位线图片

ct各部位扫描范围汇总
图片尺寸783x664
颅脑ct诊断ppt
图片尺寸1080x810
ct各部位扫描范围汇总
图片尺寸739x412
ct各部位扫描范围汇总
图片尺寸777x615
ct技术基于同一定位像不同扫描的合并
图片尺寸768x388
ct技术基于同一定位像不同扫描的合并
图片尺寸977x996
5cm的点与外眦画一条直线,作为此ct扫描基线.
图片尺寸1326x1116
mri扫描部分定位线示例ppt
图片尺寸1080x810
脑ct扫描(头部计算机断层扫描)高分辨率
图片尺寸1200x562
ct各部位扫描范围汇总
图片尺寸800x654
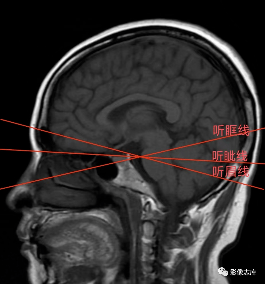
当然还有其他比如瞳间线,上眶耳线等等,在ct扫描时,定位用的最多的就
图片尺寸924x989
读懂头颅ct并不难,教你成为读片小能手
图片尺寸1080x848
颅内血肿ct片定位1ppt
图片尺寸1080x810
ct各部位扫描范围汇总
图片尺寸684x680
mrv 扫描方向要逆血流 方向 第一块在最后方 自后向前包括全部 头部
图片尺寸1080x810
急诊入院ct扫描.
图片尺寸1251x995
头颅ct扫描时如何打角度
图片尺寸1080x2047
冠状面颏顶位- ct扫描定位线(基线) 解剖图片
图片尺寸500x400
ct技术基于同一定位像不同扫描的合并
图片尺寸1080x326
ct各部位扫描范围汇总
图片尺寸801x721