ct影像诊断

搞笑剧本名脑转移瘤的影像学诊断
图片尺寸976x1385
超早期脑梗塞的ct影像表现及诊断
图片尺寸640x1006
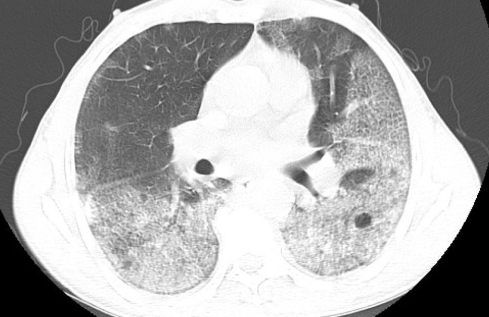
胸部ct弥漫或多发磨玻璃影的影像鉴别诊断
图片尺寸630x630
急性肺动脉栓塞的ct影像诊断
图片尺寸1080x591
支气管炎ct影像学表现为双肺纹理增粗,增多,纹理紊乱,双肺斑点状
图片尺寸1566x1280
求助ct读片 - 医学影像学讨论版 - 爱爱医医学论坛
图片尺寸1920x1080![[读片]肺部病变/ct/病理结果已公布/20090811 - 医学影像学讨论版](https://imgs.wantubizhi.com/img/ADDA3C5D760C6828B77B505A29D43E830A91EED7D38C051D1E3E78334666A680640B0D7B60E33F65B60288D956538C48551D12B725D3008CF9B15544E7F7E4E098D4FF1B5C293CF2F05DBF45C0B2D7FAAD8F4621D5311907A45B027B4C824BE3)
[读片]肺部病变/ct/病理结果已公布/20090811 - 医学影像学讨论版
图片尺寸1412x972
临床检查区 69 医学影像学讨论版 69 大家都来看看这个眼ct
图片尺寸2560x1920
新型冠状病毒感染的肺炎ct影像学表现
图片尺寸1080x885
肺癌肉瘤x线-ct病例图片影像诊断分析!
图片尺寸1292x1080
考考您的观察力(已上传ct) - 医学影像学讨论版 - 爱爱医医学论坛
图片尺寸1024x1024
刘敏:病毒性肺炎的ct影像学特征分析
图片尺寸1000x764
脑出血ct影像学预警识别再出血的征象
图片尺寸2667x2000
这个胸部ct是活动性结核吗 - 医学影像学讨论版 - 爱爱医医学论坛
图片尺寸4032x3024
刘敏:病毒性肺炎的ct影像学特征分析
图片尺寸1000x342
脑出血ct影像学预警识别再出血的征象
图片尺寸2667x2000
影像读片】胸闷,气短2年,加重伴发热1天,胸部ct如下,请讨论可能的诊断
图片尺寸3264x2448
上腹部ct平扫 - 医学影像学讨论版 - 爱爱医医学论坛
图片尺寸2048x1536
刘敏:病毒性肺炎的ct影像学特征分析
图片尺寸1000x650
刘敏:病毒性肺炎的ct影像学特征分析
图片尺寸1000x556