ct脑干

入院第二天脑部ct:脑干左侧份急性梗死
图片尺寸1559x1200
10张图搞定正常头颅ct断层解剖
图片尺寸960x720
(10月13日晚,头部ct提示患者脑干出血10毫升.
图片尺寸974x589
脑干区常见病变影像表现
图片尺寸1080x810
我院重症医学科成功救治一例大面积脑干出血患者
图片尺寸520x561
脑干出血命悬一线,五院神外挑战"生命禁区"做永不言弃的医者
图片尺寸1200x1600
脑干区常见病变影像表现
图片尺寸907x694
脑干出血最大的截面
图片尺寸3024x4032
一例重度脑干出血的外科手术治疗
图片尺寸2976x3968
行头颅ct检查提示:脑干出血,量约8ml.
图片尺寸538x635
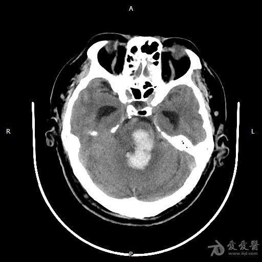
脑干出血的后果 脑干出血保险赔么
图片尺寸512x512
脑干之殇何法救?––狭路相逢勇者胜!
图片尺寸1479x1700![【病例讨论】脑干出血 [病例帖]](https://imgs.wantubizhi.com/img/A1A61BAA66193547F3A6DD7D8EE527E947B7AEAA7846F0225F5C1A219EA3112DE8D052821D62FB2439CB41E115A4DBA3166F0759CB262B0F87E48811AC83497FE02D3DC064A7918462756719A9BD11686DC7338EBB3474D8C0A3A3AD00F5A525)
【病例讨论】脑干出血 [病例帖]
图片尺寸2448x3264
一例重度脑干出血的外科手术治疗
图片尺寸2976x3968
脑干区常见病变影像表现
图片尺寸1080x810
脑干海绵状血管瘤
图片尺寸2000x2666
金寨县中医医院成功抢救一例脑干出血患者
图片尺寸2667x2000
脑干丘脑损伤案例
图片尺寸1082x1443
脑干出血11天求围观
图片尺寸512x512
脑干梗塞病人求救急急急
图片尺寸1840x3264