ct诊断

影像学的ct诊断
图片尺寸1417x876
方强的ct诊断报告单
图片尺寸550x693
ct诊断报告单
图片尺寸640x902
胃部不舒服做ct检测出双肺继发性肺结核ct诊断双肺透亮度
图片尺寸1080x1440
分享干货 想学好颅脑ct诊断,断层解剖是基础,收藏好这十 - 抖音
图片尺寸1080x1273
肠系膜脂膜炎ct诊断
图片尺寸960x720
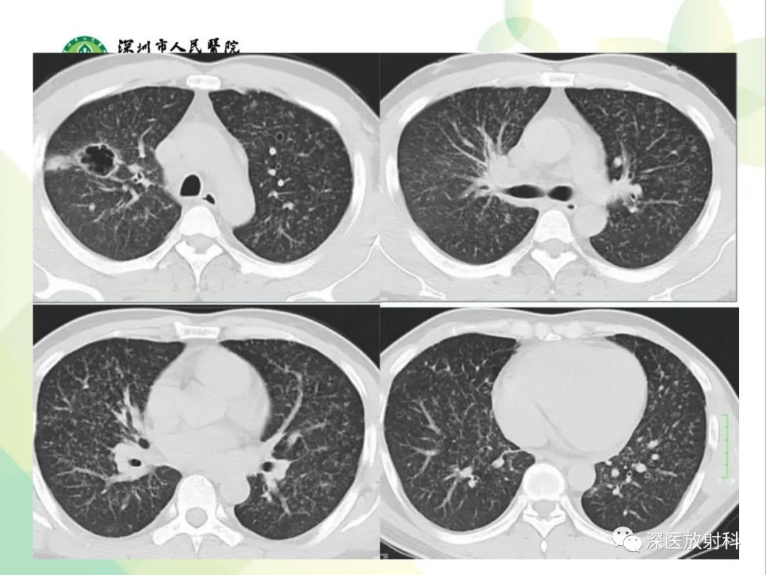
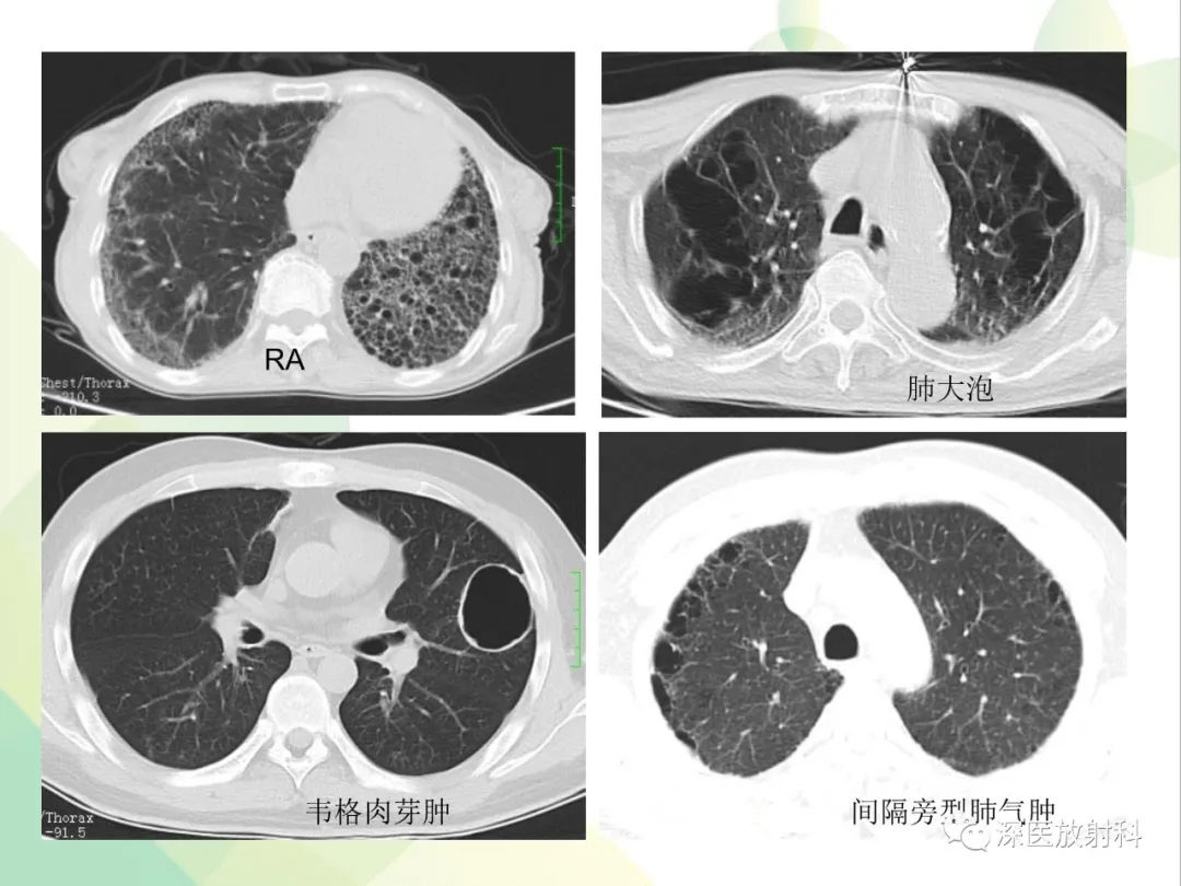
肺弥漫性磨玻璃密度病变的ct诊断
图片尺寸1080x810
【考点】ct诊断:肝胆胰脾
图片尺寸762x909
增强ct诊断脊髓动静脉瘘
图片尺寸854x2053
ct诊断甲状腺乳头状癌合并桥本甲状腺炎1例 - 好大夫在线
图片尺寸1080x1440
肺弥漫性磨玻璃密度病变的ct诊断
图片尺寸1080x810
名师手把手教你学ct诊断 胸部ppt
图片尺寸1080x810
妈妈的ct诊断报告,哪位医生帮忙给看看呢!谢谢了!
图片尺寸811x550
《腰椎ct诊断》ppt课件.ppt
图片尺寸800x600
少量蛛血的ct诊断,没那么简单_医学界-助力医生临床决策和职业成长
图片尺寸545x649
ct诊断报告单影像提示:支气管炎,肺大泡,肺纤维灶,,怎么办
图片尺寸744x992
我年前得了结核性胸膜炎,已经治疗了7个月了,昨天去医院做ct诊断说有
图片尺寸2736x4864
ct诊断报告单影像提示:支气管炎,肺大泡,肺纤维灶,,怎么办
图片尺寸744x992
肺磨玻璃结节的ct诊断
图片尺寸960x720
ct诊断报告单影像提示:支气管炎,肺大泡,肺纤维灶,,怎么办
图片尺寸744x992