dixon序列

图5:飞利浦mdixon序列,非常方便的选择出4组图还是1组图还是几组图.
图片尺寸640x388
磁共振成像dixon序列评价强直性脊柱炎患者骶髂关节骨髓水肿的价值
图片尺寸855x387
脂肪抑制技术三之dixon序列及其衍生序列
图片尺寸1484x1328
脂肪抑制技术三之dixon序列及其衍生序列
图片尺寸1254x1173
总结双回波dixon序列已经被广泛用于磁共振成像,但是还是有很多磁共振
图片尺寸850x540
的人类852ar基因序列得到的氨基酸序列以及跨膜区域(kobilka, dixon
图片尺寸945x523
英国tomdixon
图片尺寸300x300
dixon
图片尺寸1050x1575
dixon技术磁化转移技术mt施加mt脉冲,结合水被激发,结合水越多,表示有
图片尺寸872x518
具有dixon类型水脂肪分离和关于主磁场的不均匀性的先验知识的mri的
图片尺寸1000x309
tomdixon大陆首店开业生活方式品牌正当时
图片尺寸600x451
c迭代器能修改其值吗非对称迭代式dixon算法重现
图片尺寸720x540
迪克逊dixon新款眼镜,商务休闲#同城实体店 #专业验光科 - 抖音
图片尺寸750x1625
磁共振成像dixon序列评价强直性脊柱炎患者骶髂关节骨髓水肿的价值
图片尺寸463x154
让dixon成为肝脏磁共振检查的必要序列.
图片尺寸1080x1175
增强扫描,一次屏气完成一个动态的扫描,屏气时间14s,飞利浦mdixon序列
图片尺寸640x446
dioxn 序列油水分离( dixon 化学位移成像:成纯水图,纯脂肪图); 7.
图片尺寸720x1040
tom dixon|一眼万年的英国鬼才家.成立于 2002 - 抖音
图片尺寸900x1200
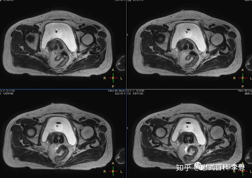
图8:t2wi显示施源器位置图9,10:mdixon脂肪抑制图像必要时候可以行
图片尺寸845x596
dixonmri和boldmri对成年男性代谢综合征早期肾损伤的定量对比研究
图片尺寸946x394