e花环

医学实验,e-玫瑰花环形成实验 e-玫瑰花环实验 有幸遇见一朵盛开的花
图片尺寸1053x1280
花环字母e
图片尺寸650x651
圣诞节装饰品圣诞花环3040cm门挂装饰花圈挂饰商场橱窗装饰布置
图片尺寸800x800
e玫瑰花环
图片尺寸545x409
仿真玫瑰花环壁饰挂饰门饰墙饰装饰圣诞节日花环 亚马逊货源
图片尺寸1920x1920
e花环实验
图片尺寸489x480
仿真装饰花环尤加利金钱叶花圈北欧ins门饰挂件跨境热销 厂家供应
图片尺寸1920x1920
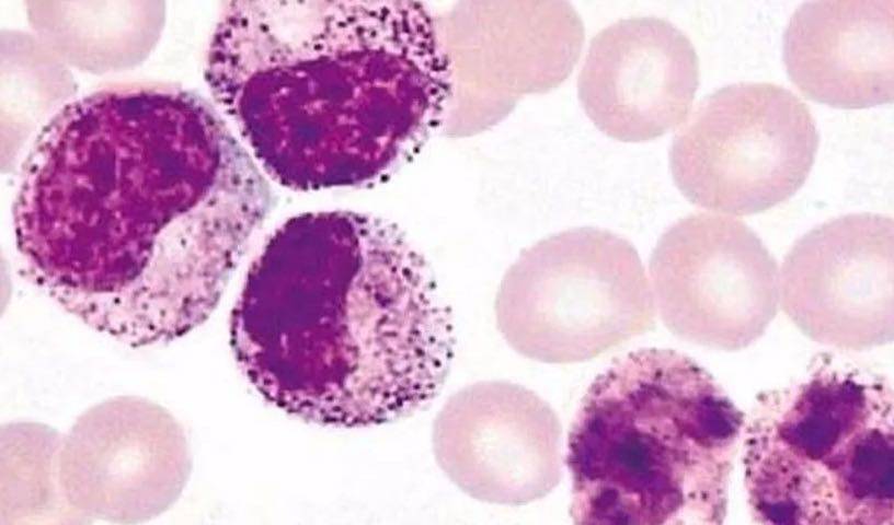
遗传学切片淋转e花环医学院校生物切片高教教学用品显微玻片
图片尺寸816x480
显微镜下的e花环
图片尺寸422x273
法国idee花环项链女 大宝石吊坠项链 韩版时尚挂坠 生日情人节礼物送
图片尺寸350x350
批发 亚马逊仿真花绢布花环门饰壁饰墙饰太阳花向日葵花环节日用
图片尺寸1920x1920
e-花环
图片尺寸720x960
医学实验 制作切片观察,活性e-花环
图片尺寸1080x1439
ai练习丨花环
图片尺寸3000x2719
病原实验报告第六弹 e花环 淋巴细胞的正常 过渡型和转化型 小吞噬
图片尺寸2095x1280
向量几何装饰品.有字母e的断头台花环
图片尺寸1100x1100
实验十一t淋巴细胞玫瑰花结实验ppt
图片尺寸800x600
北欧墙壁装饰 新娘花环玫瑰花绢花假花婚庆壁挂 花艺布置家居装饰
图片尺寸1920x1920
实验三e花环ppt
图片尺寸1080x810
lecture4-e花环试验ppt
图片尺寸1080x810