galen静脉

深静脉系统的较大静脉(包括大脑内静脉,rosenthal静脉和galen静脉)
图片尺寸592x589
样,血栓形成部位有上,下矢状窦的,横窦,乙状窦的,直窦的,galen静脉的
图片尺寸748x590
图-7脑的深静脉模式图大脑内静脉( internal cerebral veins)左,右各
图片尺寸840x894
8大脑内静脉内侧面观大脑大静脉( great cerebral vein)又称galen静脉
图片尺寸770x375
galen静脉,深度分析_医学界-助力医生临床决策和职业成长
图片尺寸1280x911
何旭英丨动静脉联合入路栓塞galen区avm
图片尺寸1080x1174
肺静脉异位引流心上型,galen静脉瘤等.
图片尺寸794x631
基底静脉和一条大脑大静脉( galen 静脉) , 每侧大脑内静脉由透明隔
图片尺寸1080x702
图20脑干静脉图21颈内静脉图22颈内静脉(断面观)图23颈内静脉和椎静脉
图片尺寸547x502
高清详细头颅静脉系统解剖必点收藏
图片尺寸696x499
1,大脑大静脉大脑大静脉(great cerebral vein)又称galen大静脉(great
图片尺寸556x757
脑中静脉与罗森塔尔基底静脉汇合形成galen静脉皮质浅静脉trolard- 最
图片尺寸756x576
galen大脑大静脉瘤样畸形
图片尺寸300x450
galen大脑大静脉接受枕内侧静脉,后胼周静脉,上蚓静脉,小脑前中央静脉
图片尺寸1080x736
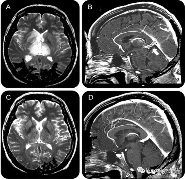
3 galen静脉动脉瘤样畸形磁共振成像 a.
图片尺寸703x609
5 galen静脉 " galen of pergamum生于土耳其,是当时著名的
图片尺寸650x421
5 galen静脉动脉瘤样畸形供血 图11.6 椎动脉造影正位像 图11.
图片尺寸559x812
脑静脉系统血栓形成的解剖与分型一文掌握
图片尺寸660x191
neurology病例:galen静脉血栓形成的可逆性双侧丘脑病变
图片尺寸640x619
galen静脉动脉瘤样畸形的影像表现
图片尺寸1080x608