iga肾病病理

iga肾病病理特点知多少
图片尺寸523x395
男子iga肾炎肾功能不全西医配合中医临床治愈如何防止恶化
图片尺寸600x390
iga肾病世界范围内最常见的肾小球疾病它的病理类型有哪些
图片尺寸504x330
肾脏病理图片(肾小球肾炎病理图片)_第2页
图片尺寸920x1302
下任然进入在4个月进入esrd阶段并最终接收肾移植肾脏病理证实igan
图片尺寸1800x2748
iga4级
图片尺寸1080x1440
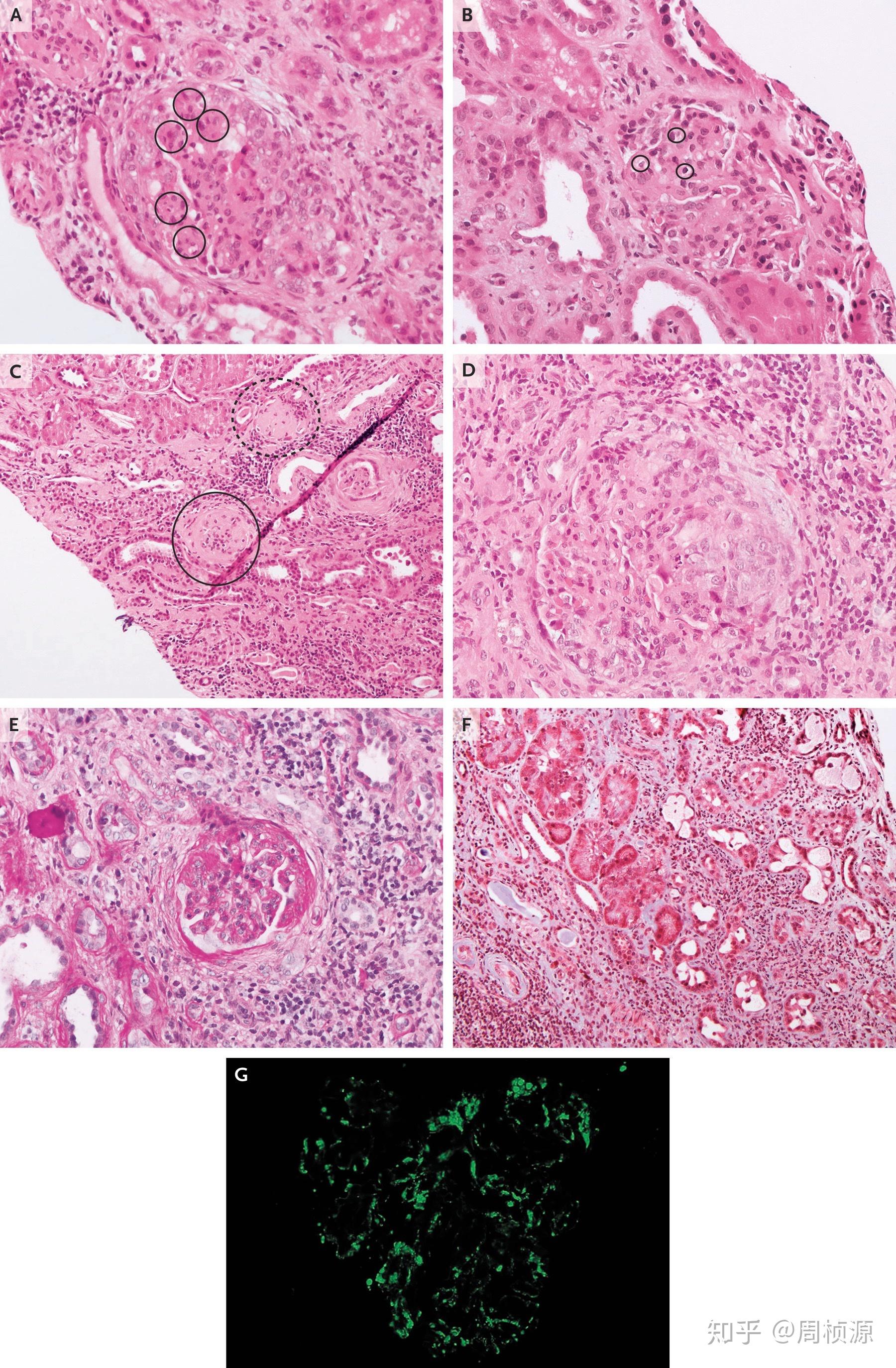
表现急性肾衰竭肾炎综合征合并肾病综合征的新月体iga肾病一例
图片尺寸1280x760
肾内病理图解:iga 肾病
图片尺寸536x411
肾内病理图解 | iga 肾病
图片尺寸520x348
肾内病理图解 | iga 肾病
图片尺寸513x344
肾内病理图解iga肾病
图片尺寸528x395
只听我的大夫说病理结果比较严重…一无所知到崩溃的我,天天想着没有
图片尺寸1486x1770
结果为:局灶增生硬化型iga肾病,应该说,病理比较重,而且还在活动,肯定
图片尺寸1080x1506
病理报告:缺血性肾损伤;慢性肾小管-间质损伤;轻度系膜增生性iga肾病
图片尺寸2048x2159
肾内病理图解:iga 肾病
图片尺寸510x396
肾脏病理基础五iga肾病
图片尺寸714x612
iga肾病怎样治疗.肾穿结果如下.
图片尺寸768x1024
肾活检病理iga肾病典型免疫荧光 - 好大夫在线
图片尺寸1600x1600
iga肾病综合征能喝羊汤吗?
图片尺寸1936x2592
肾内科学医学高级iga肾病肾血管病间质性肾炎章节练习20170311
图片尺寸356x655