intersected

intersected uppercase and lowercase letter b in blue pink color
图片尺寸1200x919
海外直订intersected identities: strategies of visualisation in
图片尺寸800x800
intersected uppercase and lowercase letter f in blue pink color
图片尺寸1200x919
intersected uppercase and lowercase letter v in blue pink color
图片尺寸1200x919
【预订】intersected identities: strategies of visualisation in
图片尺寸500x500
【4周达】liam gillick : woven / intersected / revised
图片尺寸800x800
intersected flow流体融合新概念,hyundai将在首尔车展发表全新电池
图片尺寸1024x595
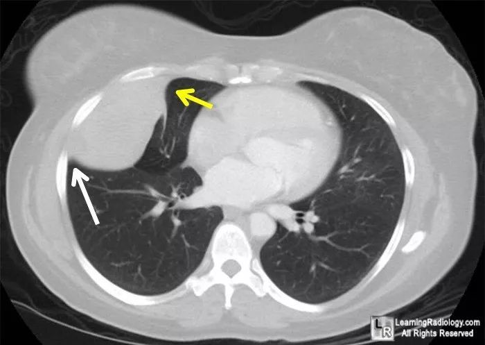
胸膜纤维瘤,你了解吗?│以影识病
图片尺寸700x497
kedja172
图片尺寸500x500
side of despair: how the movies and american life intersected
图片尺寸500x500
a horizontal rectangle is intersected between the right side
图片尺寸1600x1600
intersected flow流体融合新概念,hyundai将在首尔车展发表全新电池
图片尺寸1024x683
音乐颂 #惊艳了这翻唱#sam tsui & casey breves混合翻唱ed sheeran
图片尺寸1438x808
"t" in order to determine whether the ray has intersected with
图片尺寸335x200
解答你的青春期困惑 如图,e为平行四边形abcd边ad上一点,且ae:ed=1:2
图片尺寸452x360
google sketchup cookbook: (chapter 3) intersection edges
图片尺寸800x540
google sketchup cookbook: (chapter 3) intersection edges
图片尺寸800x483
光线追踪技术的理论和实践(面向对象)【转载】
图片尺寸397x298
surfaces intersect in space: an introduction to topology (2nd
图片尺寸800x800
new elevated road to relieve traffic in qingpu
图片尺寸1440x1080